八重歯を抜歯矯正すると顔が変わる?歯を抜かない方がいいケースもある?
CONTENTS
八重歯を矯正すると顔は変わる?老けるって本当?
『八重歯を抜歯したら、口元が引っ込みすぎて老ける?』『自分は抜歯すべき?』『抜歯せずに八重歯を治療すると出っ歯になる?』という不安に対して、結論はシンプルです。
顔が老けるかどうかは「抜歯の有無」ではなく「前歯の移動量」で決まります。
そしてその判断に最も重要なのは、歯だけではなく顔貌(横顔・Eライン)です。
八重歯の矯正治療の際には、抜歯が必要になることが多々あります。抜歯をすると言われると、健康な歯を抜いても良いのか、歯を抜くデメリットはないのか、といったことが気になりますよね。またできれば、歯を抜かずに矯正したいと思う方もおられるのではないでしょうか。
そこでこのページでは、八重歯の矯正で抜歯が必要な理由や、抜歯するメリットとデメリット、抜歯をすると顔が変わるのか?といった内容をご説明します。
大阪府松原のマウスピース矯正歯科では、インビザラインを使用したマウスピース矯正をご提供しております。院長の中村はマウスピース矯正のスペシャリストですので、他院では治療出来ないと言われた難しい症例でも、当院では問題なく治療できるケースが多いです。
当院の矯正治療の強みは、『顔貌まで加味した治療』を行える点にあると考えています。歯並びだけでなく、理想のお顔立ちまで加味した矯正治療を行いますので、矯正歯科選びでお困りの方はぜひ一度お問い合わせください。
まずはぜひ当院の矯正治療の症例をご覧ください。当院の技術力が一目でご理解いただけます。

八重歯矯正で顔が変わる人・変わらない人
口元の変化とその理由
唇は前歯に支えられています。その前歯の位置がどのように変わるかで、口元が引っ込んだり、逆に前に出てしまったりが決まります。抜歯矯正で前歯の位置が引っ込むと通常写真のような口元の変化が起きます。

Eラインが整っている人は注意
もともと口元が出ていない場合に抜歯すると、前歯が後退しすぎて老けて見えるケースがあります。
Eラインがすでに整っているかつ、後述する軽度のガタガタ八重歯は要注意です。

口元が前に出ている人は改善に有効
もともと口元が突出している場合は、抜歯により前歯を後退させることで横顔が整い、美しい印象になることがあります。

叢生(歯の重なり)が大きい八重歯は顔が変わりにくい
歯が大きくガタガタの場合、抜歯でできるスペースはほぼ全てを叢生(ガタガタ)の改善のために使用します。
- 歯の重なりを解消
- 歯の角度調整
- 犬歯の位置改善
結果として前歯の位置はほとんど変わらず、顔貌・口元はほとんど変化しません。
つまり、叢生が大きい場合は「抜歯しても顔は変わらない」安心して良いケースが多いです。
次にイラストを見ていただければ分かりやすいと思います。


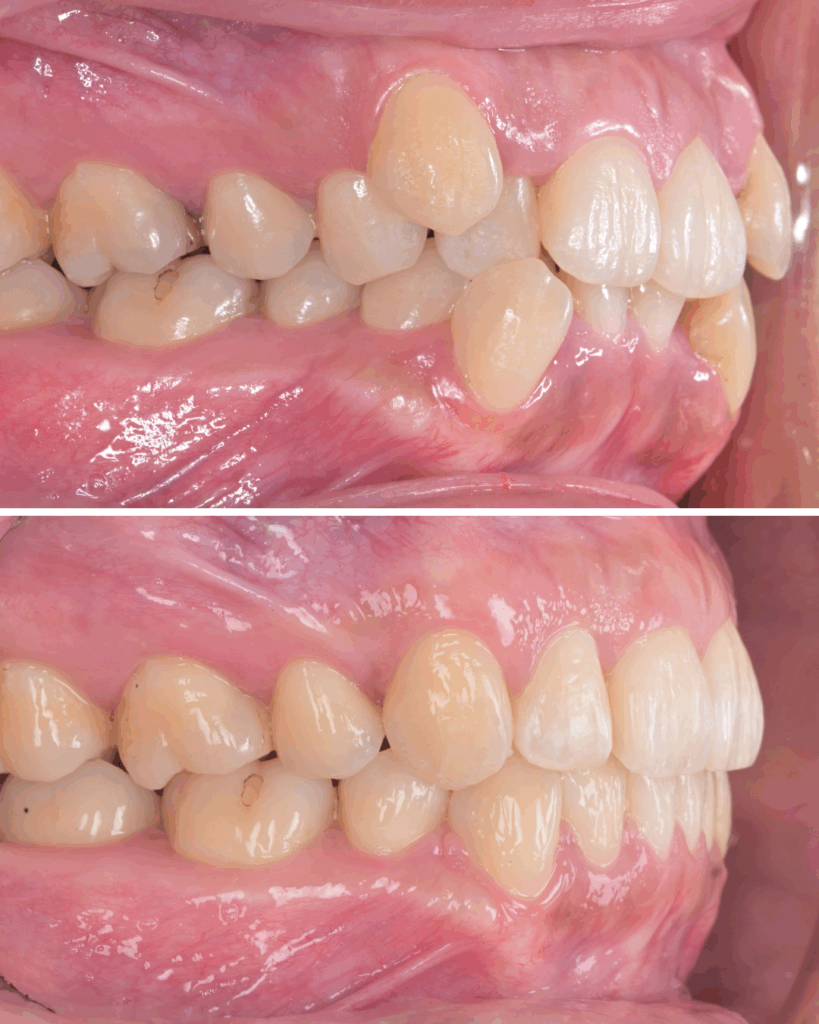
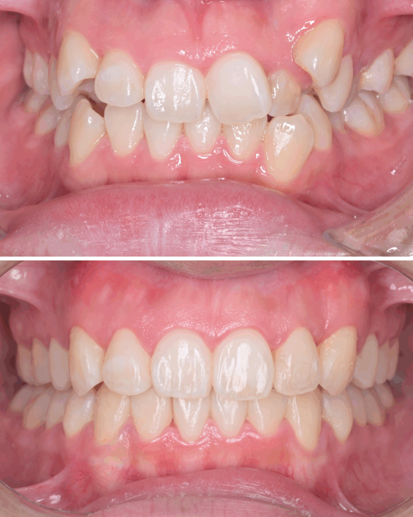
実際の症例①(叢生ガタガタが大きい八重歯の場合)
- 上下小臼歯抜歯により適切なスペースを確保
- 1年6ヶ月のマウスピース矯正を実施
- 大きく重なっていた八重歯のガタガタが改善
- 前歯の後退は最小限
- 横顔・口元の位置はほとんど変化なし
- 顔が老けたりする見た目の変化は認められない
以下は実際の症例写真です。歯並びは大きく改善していますが、顔貌への影響はほぼありません。





実際の症例②(上の歯並びのみガタガタが大きい八重歯の場合)
- 上の歯並びのみ小臼歯抜歯により適切なスペースを確保
- 1年10ヶ月のマウスピース矯正を実施
- 八重歯とガタガタが改善
- 横顔はほとんど変化なし、ガミースマイルが少し改善


軽度の八重歯で口元が出ていない場合は要注意
歯の重なりが小さい場合、抜歯スペースを前歯の後退(前歯を引っ込める)に使用できます。
次の画像で分かるように、前歯の位置が大きく引っ込んでいるのが分かります。


その結果、
- 口元が引っ込みすぎる
- 平坦な顔に見える
- 老けた印象になる
というケースが起きる可能性があります。
だからこそ、「顔分析」なしの歯並びだけでの判断は危険です。
当院では軽度の八重歯で横顔がすでに整っている場合は歯を抜かずに矯正治療をおこないます。
歯を抜かずに行うと出っ歯になる?と言われた方もご安心ください。遠心移動という方法を行えば歯を抜かずに軽度の八重歯を並べるスペースを確保できます。
実際の症例をお見せしますので、ぜひご確認ください。
実際の症例(軽度の八重歯を歯を抜かずに治療)





当院の強み:歯並びではなく「顔」を基準に治療方針を決定
大阪府松原の Mouth Peace矯正歯科では、
- 歯列シミュレーション
- 顔貌シミュレーション
- 横顔変化予測
- Eライン評価
を組み合わせて治療方針を決定します。
そのため、
- 老けないのはどちら?抜歯 or 非抜歯?
- 本当に自分は抜歯が必要か?
- 口元の理想バランスは?
顔面全体の調和で判断することが可能です。
本当に八重歯の矯正で抜歯は必要?
八重歯の矯正で抜歯をすべきかどうかですが、これは一概には言えません。抜歯を行うことにはデメリットもありますが、場合によっては抜歯した方がむしろ良いこともあります。
一般的には小臼歯を抜歯します
抜歯矯正をする際には、噛み合わせへの影響が少ない歯を抜くことが推奨されています。具体的には、噛み合わせへの影響が少ない『小臼歯』と呼ばれる前歯から4番目の歯が、抜歯の対象となることが多いです。
抜歯が必要な理由
歯を抜くことで矯正治療がスムーズになる理由はなぜなのでしょうか?その最大の理由は、「歯を並べるためのスペース不足」です。
実は多くの歯並びの悩みは、「歯の大きさ」と「顎の大きさ」のミスマッチから生じています。例えば、がっしりした大きめの歯を持っているのに、顎の骨格が小さめという場合。すべての歯をきれいに並べようとしても、単純に場所が足りなくなってしまいます。
このような状況で抜歯を行うと、残った歯が自然に収まるスペースが生まれます。まるでぎゅうぎゅう詰めだった電車から何人か降りたようなイメージです。そうすることで、それぞれの歯が理想的な位置に収まりやすくなるというわけです。
ただし、これはあくまでも一般的な説明です。実際の治療では、お一人お一人の口の中の状況や、将来的な変化まで考慮して、抜歯の必要性を判断していきます。気になる方は、ぜひ専門医での検査・相談をおすすめします
基本的に八重歯(犬歯)は抜かない方が良い
八重歯(犬歯)が気になるからと言って、犬歯を抜いてはいけません。犬歯を抜いて治療する例を見かけることがありますが、当院では原則として犬歯を抜歯することはありません。
犬歯は歯の根っこが長く深い歯のため、歯の中でも特に長持ちしやすく、歯並び全体の噛み合わせの基礎になる歯です。例外として犬歯がすでに虫歯で状態が悪くなっており、長持ちする見込みが少ない場合などは、犬歯を抜歯の対象とすることもあります。しかし犬歯が健康で綺麗な状態であれば、八重歯の矯正治療で犬歯を抜くことはおすすめできません。
抜歯してはいけないケース4選
八重歯の矯正治療で抜歯が必要な際に、特にを抜歯してはいけないのは、以下のケースに当てはまる場合です。
- ①すでに口元が引っ込んでいる
- ②奥歯を後方に移動させることでスペースを確保できる(遠心移動)
- ③歯を削ることでスペースを確保できる(IPR)
- ④歯列を広げることでスペースを確保できる(前方拡大・側方拡大)
以下でそれぞれご説明します。
①すでに口元が引っ込んでいる
口元がすでに引っ込んでいる場合は抜歯をしない方が良いケースもあります。特に軽度の八重歯の歯並びで、口元も引っ込んでいる場合は抜歯していますと、今よりさらに引っ込んでしまいます。
実際の症例(50代女性、口元を考慮し非抜歯で治療)
- 年齢、口元を考慮し歯を抜かずに治療(他では4本抜歯でワイヤー矯正と診断)
- 1年3ヶ月のマウスピース矯正を実施
- 拡大治療と遠心移動で八重歯とガタガタが改善
- 前歯が元々引っ込んでいるため、歯を抜かずに治療が可能と診断


②奥歯を後方に移動させることでスペースを確保できる(遠心移動)
八重歯のスペースを確保する方法として、奥歯を後ろに下げる方法があります。これを「遠心移動」と呼びます。
特に成長期のお子様の場合は、顎の成長と合わせて遠心移動を行うことで、抜歯を避けられる可能性が高くなります。
また、親知らずがまだ生えていない方や、親知らずを抜歯予定の方の場合は、そのスペースを利用することで、さらに治療の選択肢が広がりますよ。
実際の症例(30代女性、遠心移動で非抜歯治療)
- 遠心移動をおこない非抜歯で八重歯を改善
- 1年6ヶ月のマウスピース矯正を実施
- 他では4本抜歯でワイヤー矯正と診断

③歯を削ることでスペースを確保できる(IPR)
歯と歯の間を少しずつ削って隙間を作る方法もあります。これをIPR(歯牙近遠心削減)と呼んでいます。
歯を削る量はとても少なく、1本の歯につき0.2mm~0.5mm程度。そのため歯の健康を損なうことはありません。1本1本の歯を削る量は少ないですが、複数の歯に対して行うことで、最終的に大きなスペースを作ることができます。
最新のデジタル機器を使用することで歯を削る量を正確にコントロールすることで、歯のエナメル質にもほとんど影響はありません。そのため適切な症例であれば、抜歯を行うよりもIPRを行うのがおすすめです。
④歯列を広げることでスペースを確保できる(前方拡大・側方拡大)
歯並びの形(歯列弓)を横に広げたり、前に広げたりすることで、八重歯の矯正に必要なスペースを作ることも可能です。ただし、この方法が使えるかどうかは、患者様の口の形や噛み合わせによって変わってきます。
例えば、顔の形との調和を考えると、歯列弓を前に広げすぎると口元が出すぎて出っ歯になってしまう可能性があります。また、横に広げすぎると噛み合わせが悪くなってしまうこともあります。
当院では前方拡大や側方拡大については、患者様の顔貌との調和を意識して、経験豊富な院長が慎重に判断を行います。
実際の症例(歯列を広げることで八重歯を治療)
- 上下非抜歯で治療(他では抜歯でワイヤー矯正と診断)
- 1年8ヶ月のマウスピース矯正を実施
- 拡大治療で八重歯とガタガタが改善
- 歯を抜かないで治療を行っているが、出っ歯にはなっていない


抜歯の他にも八重歯の矯正で後悔してしまうポイントは複数あります。八重歯の矯正治療を検討されている方は、ぜひ一度ご覧ください。
>>八重歯を放置すると後悔する?リスクや判断のためのポイントを解説
当院ではこのような相談が非常に多いです
- 抜歯で顔が老けるのが怖い
- できれば歯を抜きたくない
- 横顔を美しくしたい
- 前歯を下げたいが、下げすぎは嫌
それぞれの顔立ちに合わせたベストな方法をご提案できます。
Q&A
- Q. 抜歯矯正で顔が老けることはありますか?
→ A. 叢生の大きい八重歯の場合は老けません。前歯の位置変化が小さいためです。 - Q. 抜歯するかどうかは誰が決めるのですか?
→ A. 歯並びだけでなくEラインなど顔全体のバランス分析をして判断します。 - Q. 抜歯せずに治療できる人はいますか?
→ A. 口元が出ていない場合など、遠心移動や拡大で非抜歯対応可能です。
まとめ:大切なのは「前歯がどれだけ動くか」
- 叢生が大きい → 抜歯しても顔はほぼ変わらない
- 叢生が小さい → 抜歯で顔が変わる可能性大
歯の状態だけでは絶対に判断できません。
顔貌評価を行って初めて最適な選択が可能になります。
八重歯矯正で迷われている方は、まずはご相談ください。
あなたの顔立ちに合った治療方法を一緒に検討しましょう。
大阪で顔貌まで加味した八重歯矯正なら当院まで

このページでは、八重歯の矯正で抜歯が必要な理由や、抜歯するメリットとデメリット、抜歯をすると顔が変わるのか?といった内容をご説明しました。
八重歯の矯正の際には、抜歯が必要になることが多々あります。また八重歯の原因となっている犬歯を抜歯してしまうケースも少なくないようです。しかし抜歯矯正にはデメリットもあり、また八重歯の矯正であっても犬歯を抜くことが推奨されるケースはほとんど存在していません。
知見の少ない歯科医院では、本来抜歯すべきでないケースでも、矯正しやすくなるからといって抜歯してしまったり、犬歯を抜いてしまうこともあるようです。当院ではほとんどすべての症例を、抜歯せずに矯正することが可能です。抜歯すべきかどうか、患者様の顔貌などからも判断しながら、しっかり患者様と相談しつつご提案することが可能です。
もし八重歯矯正治療でお悩みの方がいらっしゃいましたら当院にご相談ください。まずしっかりとお話を聞かせていただきたいと思います。
大阪府松原のマウスピース矯正歯科では、矯正治療のご契約前にフェイスシミュレーションによる歯列・顔貌のシミュレーションを行っております。シミュレーションで、実現可能な範囲で患者様の理想の顔貌を追求し、その通りに歯列を矯正することで、矯正治療後に口元が引っ込みすぎてしまったり、横顔が理想の形状にならなかったといったトラブルを防ぎます。
当院の矯正治療の強みは、『顔貌まで加味した治療』を行える点にあると考えています。歯並びだけでなく、理想のお顔立ちまで加味した矯正治療を行いますので、矯正歯科選びでお困りの方はぜひ一度お問い合わせください。
なんでも相談できる60分
30秒でカンタン入力!
無料相談を予約する
【執筆・監修者】
Mouth Peace 矯正歯科 院長
中村竜三 (歯学博士)
インビザラインドクター
国際口腔インプラント学会認定医

NEWS
- 診療時間
- 月
- 火
- 水
- 木
- 金
- 土
- 日
- 祝
- 9:30〜17:30
- ○
- ○
- ー
- ○
- ○
- ○
- ー
- ー
※ 【休診日】水曜・日曜・祝日