八重歯はマウスピース矯正で治せる?抜歯なし可能・痛み少ない・治療期間・40代症例|大阪 Mouth Peace


CONTENTS
八重歯はマウスピース矯正で本当に治せるのか?
「ワイヤー矯正じゃないと治らない」「抜歯が必要と言われた」「大人の八重歯は難しい」
そのように診断され、不安な思いで当院に来院される方は非常に多くいらっしゃいます。
しかし結論として、八重歯は多くのケースで マウスピース矯正のみで改善可能 です。
マウスピース矯正では、痛みを抑えながら1本1本の歯の動きを精密にコントロールできるため、成人の八重歯治療にとても適しています。
大阪・松原の Mouth Peace 矯正歯科では、30〜50代の八重歯の方が多く来院されており、
「痛みが少ない」「目立たない」「治療期間が短い」といったマウスピース矯正ならではのメリットを実感されています。
ワイヤー矯正をすすめられた方や、抜歯が必要と言われた方でも、
マウスピースのみで綺麗に整った症例を数多く経験しています。
「私の歯並びもマウスピースで治せるのかな?」
そんな疑問をお持ちの方は、まずは当院の症例をご覧ください。
あなたの八重歯も、意外とマウスピースだけで治る可能性があります。

成人(30〜50代)の八重歯症例
当院の患者様の多くは成人の方です。
「若い人じゃないと矯正は難しいのでは…」
「大人の八重歯は治療期間が長くなるのでは…」
そのように不安に思われる方が多く来院されますが、実際には
30代・40代・50代の方でもマウスピースのみで改善した症例が多数あります。
以下に、大人の八重歯が綺麗に整った実際の症例をご紹介します。
「ワイヤーでしか無理と言われた方」「抜歯と言われた方」でも改善できたケースがあります。
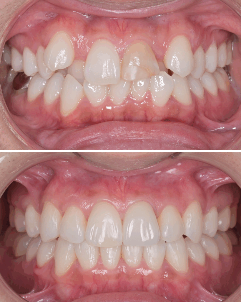
【症例①】45歳・女性
他院で「ワイヤー矯正か抜歯」と診断 → マウスピースのみで治療
治療期間:1年3ヶ月
抜歯:あり
コメント:他医院で抜歯してワイヤー矯正で、治療期間は3〜4年と診断を受けセカンドオピニオンで来院。マウスピースのみで2年以内に治療は終えることができました。



【症例②】32歳・女性
「痛みが心配でワイヤーは避けたい」と希望
治療期間:1年6ヶ月
抜歯:なし
コメント:歯を抜かずに短期改善。マウスピース矯正特有の痛みの少なさも実感された症例。京都から通院でしたが、5ヶ月に1度の通院で負担が少ないのが良かったと感想いただきました。


【症例③】52歳・女性
他医院で抜歯でワイヤー矯正と言われ、非抜歯マウスピース希望で来院
治療期間:1年3ヶ月
抜歯:なし
コメント:Eラインを崩さない設計で老け顔リスク回避。顔貌全体の調和を意識した排列。


【症例④】30歳・女性
インスタグラムで同じような歯並びが、マウスピースだけで治っているのをみて来院
治療期間:1年10ヶ月
抜歯:あり
コメント:上のはのみ抜歯、ガミースマイルも改善し満足いただけました。



【症例⑤】41歳・女性
「前歯の見た目の印象を特に改善したい」
治療期間:1年10ヶ月
抜歯:あり
コメント:マウスピース矯正で八重歯を改善し、前歯の変色歯はセラミックで改善


「自分の歯並びで可能か知りたい方はこちら」
なんでも相談できる60分
30秒でカンタン入力!
無料相談を予約する
治療期間はどのくらいかかる?
八重歯のマウスピース矯正にかかる期間は、その重なり具合やスペース不足の程度によって変わります。
軽度であれば6〜12ヶ月ほどで整うケースが多く、重度の場合は1〜2年ほどかかることがあります。ただし、これはワイヤー矯正の場合よりも短く進むケースが多いのが特徴です。
軽度の八重歯(6〜12ヶ月)
重度の八重歯(1〜2年)
ワイヤー矯正であれば抜歯が必要な歯並びだと3〜4年程度かかると言われることも珍しくないですが、当院の八重歯のマウスピース矯正で3年もかかることは稀です。抜歯が必要なケースでもほとんの場合、2年以内に治療が完了します。
通院頻度が少なく済む理由
マウスピース設計を最初に完成させることで、通院頻度を少なくできることも大きなメリットです。ワイヤー矯正の場合は1ヶ月に1回の通院が必要ですが、当院のマウスピース矯正は、5ヶ月に1回の来院で問題なく進められます。
「仕事や育児で通院の時間が取れない」「遠方で何度も来れない」という方でも安心して治療を継続していただけます。
痛みについて|マウスピース矯正とワイヤー矯正の違い
八重歯の矯正で多くの方が不安に感じられるのが「痛み」です。マウスピース矯正とワイヤー矯正では、痛みの種類と感じ方が異なります。
痛みの質の違い
ワイヤー矯正は、ワイヤー全体が強い力で歯を移動させるため、締め付けるような痛みが数日続くことがあります。
一方、マウスピース矯正では1本1本の歯を独立して動かすため、特定の歯に軽い圧がかかる程度で、全体的な痛みは少ない傾向があります。
大人の矯正でも痛みは少ない
「大人の歯は動きにくいから痛いのでは?」と思われがちですが、実際には成人矯正でもマウスピースの方が痛みが少なく感じる方がほとんどです。
当院でも「思っていたより全然痛くなかった」「生活に支障が全くなかった」というご感想を多くいただきます。
口内炎や装置トラブルが少ない理由
ワイヤーやブラケットは突出した部分があるため、頬や唇の内側に当たって口内炎が出来るケースが非常に多いです。
マウスピース矯正は滑らかな装置で表面に凹凸がないため、口内炎や粘膜トラブルがほとんどありません。
また、装置が外から目立たず、生活や仕事・人前での会話にもストレスなく治療を進められます。
八重歯矯正で抜歯は必要?
八重歯だから必ず抜歯しなければならないわけではありません。
「八重歯=抜歯」と診断されるケースが多いのは事実ですが、それはその医院の治療方針・治療設計によるものが大きいです。
ここでは、抜歯が必要な場合/必要でない場合の違いについて解説します。
抜歯が必要になるケース
・歯が大きく重なっていて、必要なスペースが非常に大きい場合
・前歯の位置や角度を後方にしっかり移動させたい場合
・ほかの方法(遠心移動・側方拡大・IPR)ではスペースが足りない場合
このようなケースでは、第一小臼歯などを計画的に抜歯し、歯を並べるスペースを確保します。
歯を抜かずに治療できるケース
・スペース不足が軽度〜中程度である
・側方拡大や遠心移動で対応できる
・歯の傾斜移動を活用できる
・口元のボリュームを保ちたい場合
ここで重要なのは、
歯を抜かないで治せるかどうかは “症例設計の技術による”
ということです。
当院では非抜歯の症例が多いのは、遠心移動・拡大・IPRのバランス設計によりスペース確保ができるからです。
非抜歯矯正について詳しい記事はこちら↓↓
非抜歯矯正で出っ歯になる?非抜歯のメリットデメリット、よくある失敗について
抜歯しても老け顔にならない設計
抜歯で心配されるのが
「口元が下がって老けて見えるのでは?」
という点です。
実際に老け顔になるのは、
歯を抜いたあと“過度に前歯を引っ込めた場合”です。
しかし当院では
・Eライン
・鼻唇角
・口唇の緊張感
・側貌バランス
など、顔貌分析も含めた設計を行うため、
抜歯しても自然で整った横顔になるケースがほとんどです。
「抜歯が必要か」だけでなく
「抜歯した上で前歯の位置をどこに設定するか」が重要です。
専門的な診断により、
あなたに最適な治療方法をご提案いたします。


八重歯矯正はなぜマウスピース矯正が向いているのか?
八重歯のように歯が重なっているケースでは、「どの歯から・どの方向へ・どの程度動かすか」という治療設計が非常に重要です。マウスピース矯正は、この細かいコントロールがしやすく、八重歯治療に高い適性があります。
1本1本の歯を独立で動かせる
ワイヤー矯正の場合、ワイヤー全体に力がかかるため、歯が一斉に動きやすくなります。
一方、マウスピース矯正では
「この歯を0.1mmだけ動かす」
「この歯はまだ動かさない」
など、歯を独立して精密にコントロールできるため、八重歯のような歯列不正を効率よく整えることができます。


治療工程の可視化
マウスピース矯正では「これからどのように歯が動いていくか」を3Dで確認できます。
患者様自身が
「今、どの歯が動いているのか」
「最終的にどう並ぶのか」
を視覚的に理解できるため、治療の安心感が高まり、モチベーション維持にも繋がります。
八重歯治療は繊細な歯の移動が重要であり、
その点において マウスピース矯正は非常に相性が良い治療方法と言えます。
どこで治療しても同じではない八重歯矯正
「マウスピースはどこで作っても同じ」と思われる方が非常に多いですが、実際には 診断力・設計力・症例経験 によって結果が大きく変わります。ここでは、その違いについて解説します。

診断(歯根・骨格分析)の重要性
歯並びだけを見て治療計画を立てるのではなく、
・歯根の方向
・骨格の傾斜
・顎の位置
・噛み合わせ関係
・顔貌バランス
まで含めて診断することが重要です。
診断が誤っていると、
・並んだけど噛めない
・Eラインが崩れた
・後戻りしやすい
といった結果になってしまいます。
設計技術の差
マウスピース矯正では、治療の質は 設計データの精度で決まります。
メーカーが自動生成した設計のまま使う医院もありますが、
それでは八重歯を綺麗に並べることは難しい場合が多いです。
当院では
・アタッチメントの位置と形状
・動かす歯の順序
・歯体移動と傾斜移動の配分
・遠心移動の活用
・側方拡大量の調整
などを細かく手修正し、理想の歯列に近づけます。
ここが 結果の差が最も出るポイント です。
当院の症例経験が活きるポイント
八重歯の症例は非常に多く扱ってきました。
「他院でマウスピースでは無理と言われた」
「ワイヤー矯正しかないと言われた」
という方でも改善できた症例が多数あります。
経験の蓄積により、
・八重歯特有の歯の干渉パターン
・歯根の動き方の傾向
・骨格タイプによる反応
・年齢差による動きやすさ
などを把握しているため、
より短期間で、より整った歯並びに仕上げることが可能です。
マウスピース治療は、装置そのものではなく、
診断力・設計力・経験値によって結果が変わる治療
であることをご理解いただくことが大切です。
実際の設計(当院でオーダーメイドで設計したもの)
マウスピース矯正ではこのように歯並びと骨の位置を見ながら最終的にどこの位置に移動させるのか、どの順番で移動させるのか、歯につけるアタッチメントはどのような形にするかなど細かく設計していきます。
この設計が正しくないと、治療が終わらない、噛み合わせが悪くなるなどの問題が出てしまう場合があります。
修正前の設計(このまま治療すると問題が起こります)
患者さんの歯並びと骨の状態を元にコンピュータが自動でマウスピースの設計をしてきてくれます。ただこれを修正せずにそのマウスピースを作成すると問題が起きてしまいます。
分かりにくいと思うので、私が修正したののと比較したいと思います。

このように同じ歯並びでも、診断・設計が変われば治療の結果も変わってきます。なので今現在では、矯正治療の経験と設計技術がないと難しい歯並びをマウスピース矯正で治療することは困難と言えます。
FAQ
Q1. マウスピース矯正は八重歯でも対応できますか?
A1. はい、ほとんどの八重歯ケースで対応可能です。当院ではワイヤー矯正でしか無理と言われた方も、マウスピースのみで治療できた症例が多数あります。
Q2. 治療期間はどのくらいですか?
A2. 軽度で6〜12ヶ月、重度では1.5〜2年程度です。ワイヤー矯正より短くなるケースがほとんどです。
Q3. 抜歯は必要ですか?
A3. ほとんどのケースで抜歯せずに治療可能ですが、スペース不足が大きい場合は必要となることがあります。診断で判断します。
Q4. 痛みはありますか?
A4. 数日間の締め付け感はありますが、ワイヤー矯正より痛みは少ない傾向です。
Q5. 大人でも八重歯は矯正できますか?
A5. 40代・50代でも問題なく治療できます。実際に当院でも多数の症例があります。
詳しくはこちら → 40代・50代からの矯正について
まとめ:八重歯はマウスピース矯正で治療可能です
八重歯の矯正では、
「抜歯かどうか」「痛み」「治療期間」「顔貌への影響」など、気になるポイントが多いと思います。
マウスピース矯正は八重歯のような複雑な歯並びでも、
・痛みが少なく
・見た目の負担がなく
・治療設計が精密で
・通院回数も少なく
対応できる治療方法です。
当院では、
患者様の歯並びだけでなく、
歯根、骨格、噛み合わせ、Eラインまで考慮して設計し、
長期的に安定した歯列を目指しています。
「自分の八重歯はマウスピースで治るのか?」
「抜歯しないでできる?」
「大人でも間に合う?」
というご相談は非常に多くいただきます。
まずはお気軽にご相談ください。
現在の歯並びを3Dで確認し、
必要な治療期間・抜歯の有無・治療後の顔貌の変化まで
一人ひとりに合わせて丁寧にご説明いたします。
マウスピース矯正専門医に直接相談できる60分

大阪府松原の当院マウスピース矯正歯科では、インビザラインを使用したマウスピース矯正をご提供しております。院長の中村はマウスピース矯正のスペシャリストですので、他院では治療出来ないと言われた症例や、歯を抜かないといけないと言われた難しい治療でも、当院では問題なく治療できるケースが多いです。矯正治療でお困りの方はぜひ一度お問い合わせください。
なんでも相談できる60分
30秒でカンタン入力!
無料相談を予約する
NEWS
- 診療時間
- 月
- 火
- 水
- 木
- 金
- 土
- 日
- 祝
- 9:30〜17:30
- ○
- ○
- ー
- ○
- ○
- ○
- ー
- ー
※ 【休診日】水曜・日曜・祝日