開咬(オープンバイト)をマウスピース矯正で治療した症例|ワイヤー矯正をしたくない方向けの大阪の専門医院|マウスピース矯正歯科

OPENBITE
開咬(オープンバイト)の症例

開咬(オープンバイト)とは

開咬とは、奥歯を噛み合わせたときに上下の前歯が接触せず、前歯で食べ物を噛み切ることが難しい状態を指します。

開咬は犬歯から犬歯までの前歯部が開いているケースが最も多いですが、奥歯の一部だけが噛んでいて他の歯は噛み合わない重度のケースもあります。英語では「オープンバイト(OpenBite)」と呼ばれます。

◎開咬の主な症状
前歯で食べ物を噛み切れない/滑舌が悪くなる(サ行・タ行など)/口が閉じにくい・口呼吸になりやすい/見た目が気になる

開咬(オープンバイト)とは

症例で見る
開咬(オープンバイト)のマウスピース矯正

当院で実際に治療を行った開咬(オープンバイト)のマウスピース矯正の症例をご紹介します。

他院で手術と診断された開咬を改善
マウスピース矯正 1年4ヶ月症例

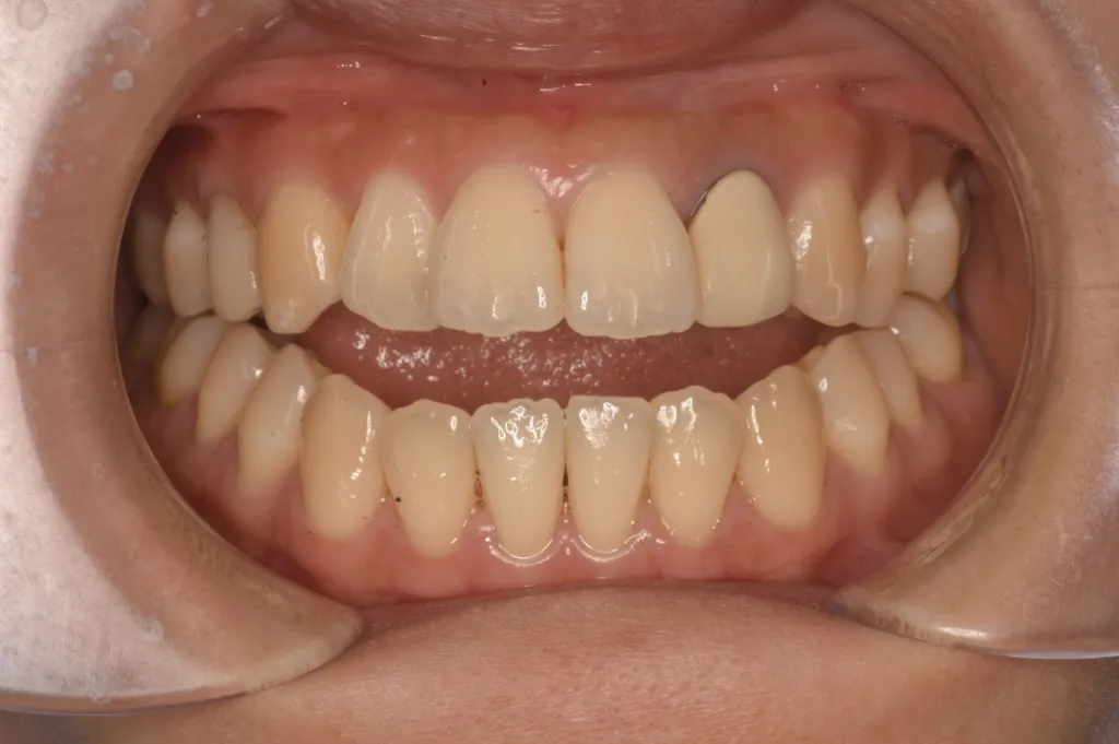
  • 治療前
    治療前
  • 治療後
    治療後
患者さんのお悩み、希望 前歯がまったく噛み合わず、食べ物を前歯で噛み切れないことに悩まれていました。滑舌にも影響があり、日常生活上のストレスが大きくなっていました。地元の矯正歯科では「外科手術が必要」と診断されましたが、できれば手術を避けたい、そして目立たない方法が良いというご希望がありご来院いただきました。
治療方法 インビザラインを用いたマウスピース矯正を行いました。 アタッチメントあり、顎間ゴム使用。 通院頻度:5ヶ月ごと ※症例により異なります
治療期間 1年4ヶ月(通院頻度5ヶ月に1度程度)※症例により個人差があります 手術なし、マウスピース矯正のみで開咬の改善が可能でした。
患者さんの感想 地元の歯医者では手術をしないと治らないと言われたオープンバイトでしたが、インスタグラムでこちらの歯科で私と同じ症例をマウスピースで矯正されていたのでこちらを選びました。無料相談から丁寧にしていただき、治療計画も分かりやすかったです。遠方から来ていたこともあり、5〜6ヶ月に1回の来院で良いように調整してくれたので、続けやすかったです。治療も思った以上に早く終わり(約1年半)、歯並びから噛み合わせまでしっかり調整してもらったのでとても満足です。
リスク マウスピース矯正は、適切にマウスピースを装着しないと、計画どおり歯が動かない可能性があります。
費用 マウスピース矯正(インビザライン):72万円(税抜)
当症例についてさらに詳しく

開咬+受け口を手術なしで改善
インプラントアンカー併用のマウスピース矯正

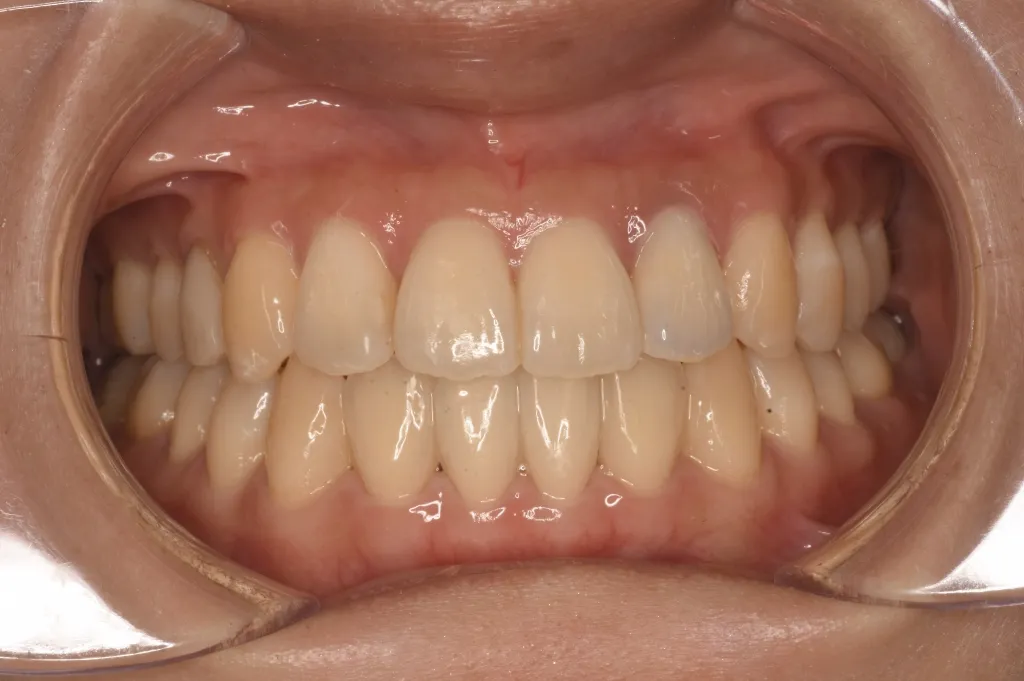
  • 治療前 開咬(オープンバイト)と呼ばれる状態
    治療前 開咬(オープンバイト)と呼ばれる状態
  • 治療後 手術を回避してマウスピース矯正で治療
    治療後 手術を回避してマウスピース矯正で治療
  • 笑った時の状態 常に前歯が開いている
    笑った時の状態 常に前歯が開いている
  • 治療後 前歯が閉じて、しっかり噛めるようになりました
    治療後 前歯が閉じて、しっかり噛めるようになりました
患者さんのお悩み、希望 前歯がまったく噛んでいないため、滑舌が悪く、前歯でものが噛み切れないことに悩まれていました。何件か矯正相談に行ったが、どこでも「顎を切る手術をしないと治らない」と言われ諦めかけていました。手術は回避したいが、噛み合わせを治したいという強いご希望がありご来院されました。
治療方法 マウスピース矯正(インプラントアンカー併用)。 開咬に加え受け口傾向であったため、ワイヤー矯正では手術が必要な歯並びでしたが、マウスピース矯正で奥歯を圧下し、インプラントアンカーを併用して下顎の奥歯を後方に移動させ、開咬と受け口を改善しました。
治療期間 1年10ヶ月
マウスピース矯正とインプラントアンカーを併用することで手術なしで開咬の改善を行いました。
患者さんの感想 手術をせずに噛み合わせが良くなり、前歯で噛み切れるようになって食べるのが今までよりも楽しくなりました。前歯が当たるようになり滑舌もよくなったと周りから言われるようにもなりました。マウスピース矯正でこんなに早く治ると思わなかったので、もっと早くから治療すればよかったです。マウスピース矯正中は間食ができないのが辛かったですが、健康的には良いとだろうとポジティブに捉えて頑張ることができましたし、矯正をしてから周りから顔が小さくなったと言われるようになりました。矯正治療中のゴムかけ最初は大変でしたが、頑張った甲斐がありました。
リスク マウスピース矯正は、適切にマウスピースを装着しないと、計画どおり歯が動かない可能性があります。
費用 マウスピース矯正(インビザライン):75万円
インプラントアンカー:3万円
当症例についてさらに詳しく

開咬のマウスピース矯正の症例一覧

マウスピース矯正で開咬は治療できる?

マウスピース矯正で開咬を治療することは可能です。むしろ、近年の研究では開咬はマウスピース矯正が得意とする症例であることが示されています。

開咬の治療では「奥歯の高さを調整する(圧下する)」ことがポイントになりますが、この動きはマウスピースが歯全体を覆う構造上、非常にコントロールしやすい動きです。ワイヤー矯正よりもマウスピース矯正のほうが効果的に奥歯を圧下できるとする研究報告もあります。

ただし、開咬の原因が骨格性か歯性かによって治療方針は大きく変わります。当院では歯科用CTや口腔内スキャナーを用いた精密診断で原因を見極め、マウスピース矯正での改善が可能かどうかを判断しています。

マウスピース矯正で開咬は治療できる?

開咬が手術なしのマウスピース矯正で治療できるケース

当院のマウスピース矯正では、多くの開咬症例の治療が可能です。また他院では手術が必要だと判断される開咬の症例も、インプラントアンカーを併用することで手術をせずに治療できるケースも多いです。

以下で開咬がマウスピース矯正で治療できるケース、できないケースを説明しますが、実際の診断結果によっては治療が可能になるケースもありますので、治療を検討されている方はまずは当院の無料カウンセリングにお越しください。

歯性の開咬(舌癖や歯の傾きが原因)

歯の位置や傾きによって前歯が開いている状態は、歯性の開咬と呼ばれます。このタイプは奥歯の圧下や歯列の調整で改善できるケースが多く、マウスピース矯正の適応になります。

噛み癖や生活習慣が原因の開咬

幼少期からの長期間の指しゃぶりや口呼吸の習慣が原因で前歯が開いてしまったケースも、原因となる習癖への対応と併せてマウスピース矯正で改善が見込めます。

中等度までの骨格的な影響がある開咬

骨格的な影響がある場合でも、中等度までであれば、インプラントアンカーや顎間ゴムなどの補助装置を併用することで、手術を回避してマウスピース矯正で改善できるケースがあります。

外科手術が望ましい開咬のケース

明らかな骨格性の開咬で、顎の骨そのものの位置関係に大きなズレがある場合は、外科的な矯正治療が望ましいことがあります。具体的には、横顔や顔貌に大きな影響が出ている場合、顎変形症レベルの症状がある場合などです。

当院では、マウスピース矯正で改善可能な範囲と外科的アプローチが望ましい範囲の両方をご説明し、患者様のご希望に沿った選択ができるようサポートしています。

当院のマウスピース矯正が
開咬の治療に向いている理由

「開咬はワイヤー矯正か手術でないと治らない」このように説明されて、当院にセカンドオピニオンに訪れる患者様は少なくありません。しかし、マウスピース矯正の技術が進歩した現在では、むしろ開咬こそマウスピース矯正が力を発揮しやすい症例と言えます。

①奥歯の圧下(沈み込ませる動き)が得意

開咬の治療で重要なのは、伸びすぎた奥歯を沈み込ませる「圧下」という動きです。

ウスピースは歯全体を覆う構造のため、歯を上から押さえ込む力をかけやすく、奥歯の圧下を精密にコントロールできます。

ワイヤー矯正ではこの圧下が難しいとされてきましたが、マウスピース矯正では構造上の利点を活かして効果的に行えます。

①奥歯の圧下(沈み込ませる動き)が得意

②顎間ゴムやインプラントアンカーとの併用で治療の幅が広がる

マウスピース矯正単独では治療が難しく、通常は外科手術が適応となるケースでも、顎間ゴム(エラスティック)やインプラントアンカー(矯正用インプラント)を併用することで、治療の幅が大きく広がります。

当院では開咬に受け口が重なった外科手術が適応の難症例を、マウスピース矯正とインプラントアンカーの併用で改善した症例などがあり、多くの患者様にお喜びいただいております。

院長の中村はこの技術の第一人者で、多くの歯科医師にアンカースクリューを使用したマウスピース矯正の技術指導を行っております。

②顎間ゴムやインプラントアンカーとの併用で治療の幅が広がる

③院長によるオーダーメイド設計で精度を高める

マウスピース矯正では、治療計画シミュレーションソフト(クリンチェック)でAIが自動生成した計画をそのまま使う医院も少なくありません。

しかし当院では、院長がAIの計画を一から再設計し、奥歯の圧下量や歯の移動順序を細かく調整しています。

この工程が、開咬治療の精度と治療期間の短縮に直結します。

③院長によるオーダーメイド設計で精度を高める

④矯正後の顔貌変化もシミュレーションで確認できる

開咬の治療は噛み合わせだけでなく、口元や横顔の印象にも影響します。

当院ではフェイスシミュレーションシステムを用いて、矯正後の顔貌変化を治療前に確認できます。

「前歯が噛み合うようになったら顔の印象はどう変わるのか」を視覚的に確認してから治療を開始できるため、安心して臨んでいただけます。

④矯正後の顔貌変化もシミュレーションで確認できる

開咬は治療すべき?放置した場合のリスク

開咬は見た目の問題だけでなく、長期的に歯の健康や全身の健康にも影響を及ぼす可能性がある噛み合わせです。

8020達成者(80歳で20本以上の歯を残している方)を対象とした咬合調査では、開咬の方で8020を達成していた方は0%という報告があります(竹内ら、歯科学報、2005年)。開咬では前歯が噛み合わないぶん、奥歯に過度な負担が集中するため、将来的に奥歯の摩耗や破折、歯の喪失につながるリスクが高まります。

そのほかにも、咀嚼効率の低下により食事の質が下がること、顎関節への影響、発音障害の持続など、さまざまなリスクが指摘されています。「見た目はそこまで気にならない」という方でも、噛み合わせの機能面から早めにご相談いただくことをおすすめします。

開咬治療で重要になる診断のポイント

開咬の治療では「手術が必要かどうか」の見極めが最も重要です。そのためには、単に前歯が噛み合っていないかどうかだけでなく、骨格・歯列・筋機能を総合的に評価する必要があります。

当院では以下の点を精査して治療方針を決定しています。

  • セファロ分析による骨格評価:顎の骨格が開咬の原因にどの程度関与しているかを評価します
  • 臼歯の垂直的位置関係:奥歯が伸びすぎていないか、どの程度圧下が必要かを確認します
  • 舌癖・口腔習癖の有無:舌で前歯を押す癖があると、治療後の後戻りリスクに影響します
  • 咬合平面の傾斜と顎間関係:噛み合わせ全体のバランスを評価します

これらを精査することで、マウスピース矯正単独で改善可能な範囲、補助装置が必要な範囲、外科併用が望ましい範囲を明確に判断できます。当院では歯科用CT・口腔内スキャン・シミュレーションを用いて診断を行い、顔貌変化も含めて治療結果を事前に確認できる体制を整えています。

無料カウンセリングのご案内
まずはお気軽にご相談ください

無料カウンセリングのご案内|まずはお気軽にご相談ください

開咬(オープンバイト)は、「手術しか方法がない」「ワイヤー矯正でないと治らない」と説明され、治療を諦めてしまう方が少なくありません。

しかし当院では、他院で手術が必要と診断された多くの患者様が、マウスピース矯正で開咬を改善されています。手術が本当に必要なのか、マウスピース矯正で対応できるのか。その判断には、専門的な診断が欠かせません。

当院では初回カウンセリングにて、治療可能性の評価、治療期間の目安、費用概算、顔貌変化の予測をご説明しています。カウンセリングは無料・60分、院長が直接対応いたします。オンライン矯正相談にも対応しておりますので、遠方の方もお気軽にご相談ください。

遠方からの患者様も多く、通院は5ヶ月に1回程度で進められますので、県外の方でも無理なくご来院いただけます。

諦めかけている方も、ぜひ一度ご相談ください。

よくあるご質問(FAQ)
患者様の疑問にお答えします

Q. 開咬(オープンバイト)は手術なしで本当に治りますか?

A.歯性の開咬の場合は治ります。骨格性の場合でも、インプラントアンカーや顎間ゴムを併用すれば手術なしで改善できるケースは多いです。手術が必要かどうかは精密診断で判断できますので、まずは一度ご相談ください。

Q.他院で「手術が必要」と言われました。それでもマウスピース矯正で治せますか?

A.当院では、他院で手術が必要と診断された患者様の多くがマウスピース矯正で改善されています。開咬は診断と治療設計によって結果が大きく変わる症例です。セカンドオピニオンとしてもお気軽にご相談ください。

Q.開咬の治療期間はどのくらいですか?

A.症例により異なりますが、多くの場合1年〜2年以内に完了しています。当院の症例では、1年4ヶ月で改善したケースや、開咬+受け口の複合症例でも1年10ヶ月で完了したケースがあります。

Q.40代・50代でも開咬の治療はできますか?

A.年齢は問題ありません。当院では40代・50代の患者様の開咬治療実績も多数あります。歯周病や被せ物がある方にも対応しています。マウスピース矯正は弱い力で歯を動かすため、大人の方にも適した治療法です。

Q.滑舌や発音は改善しますか?

A.前歯が噛み合うようになると、多くの方で滑舌が改善します。当院の患者様からも「周りから滑舌がよくなったと言われた」というお声をいただいています。

Q.顎間ゴム(エラスティック)は必要ですか?

A.開咬の治療では、多くの場合、顎間ゴムの使用が必要です。上下の歯にゴムをかけることで前歯を閉じる力を補助します。食事のときは外していただきます。最初は慣れが必要ですが、治療結果に大きく影響する大切な補助装置です。

Q.通院頻度はどのくらいですか?

A.当院は通院頻度を抑えた治療設計が可能で、目安は5ヶ月に1回程度です。遠方からお越しの患者様も多く、県外の方でも無理なく治療を続けていただけます。

Q.開咬の治療後に後戻りしませんか?

A.開咬は後戻りのリスクがある症例です。特に舌癖(舌で前歯を押す癖)がある方は注意が必要です。当院では治療後のリテーナー(保定装置)の使用を指導するとともに、舌癖がある場合は意識していただくようアドバイスしています。

Q.費用はどのくらいですか?

A.マウスピース矯正(インビザライン)は72万円〜(税抜)です。インプラントアンカーの併用が必要な場合は別途3万円程度かかります。費用は事前にすべてご提示し、治療途中で追加費用が必要な場合も事前にご説明いたします。

Q.無料相談やセカンドオピニオンはできますか?

A.できます。開咬は「骨格性か歯性か」の見極めで治療方針が大きく変わります。無料カウンセリングでは、あなたの噛み合わせの状態を精査し、マウスピース矯正で治せるかどうかをはっきりお伝えします。迷っている段階でも構いませんので、お気軽にご相談ください。

マウスピース矯正専門ドクターに
なんでも相談できる60

30秒でカンタン入力!

無料相談を予約する