大人の八重歯(叢生)をマウスピース矯正で治療した症例|ワイヤー矯正をしたくない方向けの大阪の専門医院|マウスピース矯正歯科

DOUBLE TOOTH
八重歯(叢生)の症例

八重歯とは

八重歯とは、主に犬歯がその両側の歯よりも外側に飛び出してしまい、歯と歯が重なった状態の歯並びのことを指します。

八重歯は犬歯に限らず歯と歯が重なった状態を指した言葉ですが、犬歯が飛び出すことが非常に多いため、『八重歯=犬歯』だと思っている方も多いですが、それは誤解です。

◎犬歯とは:前歯から数えて3本目の尖った形の歯

八重歯の医学的な正式名称は『低位唇側転移歯』と言い、多くの方が想像する犬歯の八重歯は『上顎犬歯の低位唇側転位』と呼ばれます。

また一般的には八重歯やガタガタした歯並びのことを、『叢生(そうせい)』や『乱杭歯(らんくいば)』、俗な言い方としては『ガチャ歯』などと呼ぶこともあります。

八重歯とは

症例で見る
八重歯のマウスピース矯正

当院で実際に治療を行った八重歯(叢生)のマウスピース矯正の症例をご紹介します。

上下4本抜歯のマウスピース矯正
(治療期間1年10ヶ月)

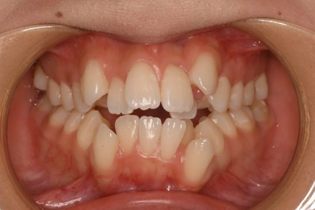
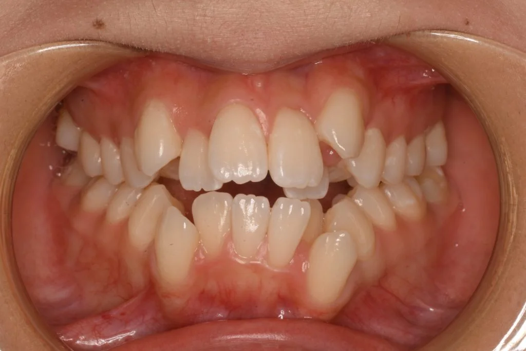
  • 症例1-1治療前
    治療前
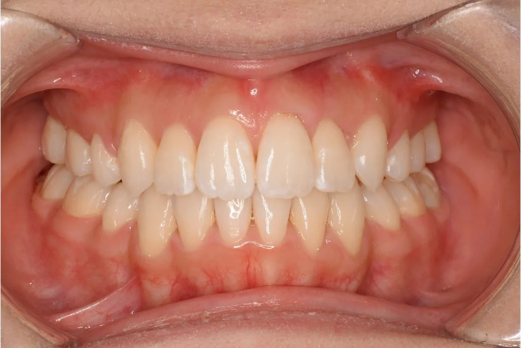
  • 症例1-1治療後
    治療後 マウスピース矯正のみで治療
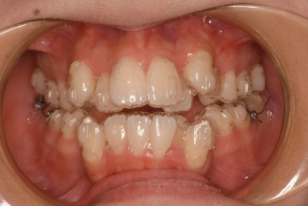
  • 症例1-2治療前
    マウスピース装着時の写真
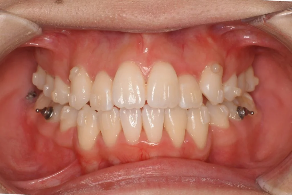
  • 症例1-2治療後
    1年経過時 大体1年で八重歯やガタガタは解消されます
  • 症例1-2治療前
    治療前の口元の写真
  • 症例1-2治療後
    治療後 とても綺麗な笑顔になりました
患者さんのお悩み、希望 八重歯、ガタガタがひどくて人前で笑えない。笑うときは手で隠して笑うのが癖になっているので、歯並びを治して人前で気にせず笑えるようになりたい。ただ口内炎ができやすいので、ワイヤー矯正ではなくマウスピースで治療したい。何件か相談にいったが、どこの病院でもワイヤー矯正じゃないと難しいと言われ諦めかけている。
治療方法 上下4本抜歯のマウスピース矯正(インビザライン)
治療期間 1年10ヶ月
患者さんの感想 他ではワイヤー矯正でしか治療できないと言われていたので、最初はマウスピース矯正で本当に治るのかなと少し心配でしたが、治療期間も短く、こんなに綺麗になってお願いして本当によかったです。長年コンプレックスだった歯並びが綺麗になって、以前は自分の口元を見るのが嫌でしたが、口元に自信が持てるようになり、人前で気にせず笑えるようになって人生が変わりました。
リスク マウスピース矯正は矯正用マウスピースを適切に使用しないと、計画どおり歯が動かない可能性があります。
費用 抜歯ありのマウスピース矯正:880,000円(税込)
当症例についてさらに詳しく

八重歯のマウスピース矯正の症例一覧

マウスピース矯正で八重歯は治療できる?

マウスピース矯正で八重歯を治療することは可能です。ただし、症例の程度や状態によって、治療の難易度や適応が変わってきます。近年、マウスピース矯正の治療範囲は大きく広がり、理論上ではワイヤー矯正とほぼ同様の治療が可能です。

ただし歯科医師の技術によっては、実際には治療が行えないケースも多いようですが、当院はマウスピース矯正を専門的に扱っており、ほとんどの八重歯をマウスピース矯正で治療可能です。

マウスピース矯正による治療を成功させるためには、歯科医師の技術力だけでなく、事前の詳細な診査・診断が不可欠です。当院では歯科用CTや口腔内スキャナーを用いて、歯の位置関係だけでなく、骨の状態や噛み合わせまで総合的に確認します。

さらに、矯正治療後の顔貌の変化もシミュレーションで確認することで、より患者様の理想に近い治療をご提供しております。

患者様のご年齢やご希望に応じた治療が可能です。実際に50代の患者様の八重歯を治療した症例をご紹介します。

>>50代女性 八重歯の歯列矯正 マウスピース矯正【インビザライン】
マウスピース矯正で八重歯は治療できる?

マウスピース矯正で治療可能な八重歯のケース

当院のマウスピース矯正では、ほぼ全ての八重歯症例の治療が可能です。具体的には、以下のような状態であれば、マウスピース矯正が適応となります。

こちらはあくまでも当院の基準です。他院では治療が行えないケースもございますので、ご注意ください。

前歯の軽度から中程度の重なり

歯の重なりが3mm程度までの場合、歯を少しずつ動かしていくことで、理想的な歯並びを実現できます。また、犬歯(糸切り歯)が外側に出ている一般的な八重歯も、マウスピースで段階的に歯を移動させることで改善が可能です。

歯列全体にスペースの余裕がある場合

歯列全体にスペースの余裕がある場合は、八重歯の矯正治療が比較的に容易になります。歯を後方に移動させたり、歯列を適度に広げたりすることで、場合によっては抜歯せずに治療を進めることも可能です。特に歯を後方に移動させるような動きは、マウスピース矯正が得意としている治療方法です。

顎の骨格に大きな問題がない

八重歯のマウスピース矯正での治療において重要なポイントは、顎の骨格に大きな問題がないことです。ワイヤー矯正でもマウスピース矯正でも、顎の骨格そのものを変えることはできません。

顎の骨格が過度に小さい場合や、顎が大きく前突している場合などは、歯並びそのものは綺麗に出来ますが、少し歯列が前突した印象になることがあります。当院では歯列矯正による歯並びや顔貌の変化を3Dシミュレーションし、治療前にご確認いただいておりますので、一度カウンセリングをお受けいただき、矯正治療後のイメージを確認してみてください。

マウスピース矯正が適さない八重歯のケース

当院のマウスピース矯正は多くの八重歯の症例に対応できますが、一般的な歯科医院では治療が難しいとされるケースがあります。

特に重度の歯の重なりがある場合は、マウスピース矯正での治療が難しいことがあります。歯の重なりが4mm以上あるような場合や、複数の歯が著しく重なり合っているケースでは、歯を移動させるスペースの確保が困難なため、従来のワイヤー矯正でなければ治療できない先生が多いようです。

他にも、歯科医院によって得意不得意があるため、当院では問題なく治療できるケースが、他院では「マウスピース矯正では治療できない」と判断されてしまうケースは多いです。他院で治療が難しいと言われた方は、ぜひ一度、当院にご相談ください。

当院が複雑な八重歯も
マウスピース矯正で治療できる理由

当院では、他院では矯正できないと言われた複雑な八重歯も、マウスピース矯正で治療が可能です。

①八重歯の核心である「スペース作り」の手法が豊富

八重歯の原因の大部分は、歯をきれいに並べるためのスペースが足りないことにあります。したがって治療では、まずスペースを確保し、その上で歯を本来の位置へ安全に誘導することが重要です。

当院では、状態に応じて「抜歯でスペースを作る」または「非抜歯でスペースを捻出する(遠心移動・拡大・IPR等)」方法を適切に選択し、必要に応じて組み合わせて治療計画を立てます。

抜歯

抜歯

重なりが大きいケースや、口元を無理に前へ出さずに整えたいケースでは、仕上がりと安定性を優先して抜歯を選択します。

遠心移動

遠心移動

奥歯を後方へ移動させ、歯を並べるスペースを作ります。非抜歯での改善を狙う際に有効です。

拡大

拡大

歯列の幅を前方または左右に適切な範囲で広げ、歯を並べるスペースを確保します。

IPR(歯間調整)

IPR(歯間調整)

歯と歯の間を必要最小限で削り、スペースを捻出します。

このようにスペース作りの選択肢が多いからこそ、「ワイヤーでないと難しい」と言われがちな八重歯でも、マウスピース矯正で成立するケースが増えます。

②精密診断で歯の無理のない動かし方を決められる

非抜歯での拡大や遠心移動は、やり方を誤ると歯や歯ぐきに負担がかかり、見た目だけ整っても長期的に安定しないことがあります。

②精密診断で歯の無理のない動かし方を決められる

例えばこのシミュレーションでは、歯並びは綺麗に整って見えますが、歯の根っこが骨から飛び出ており長期的な歯の予後が悪くなります。そこで当院では、歯科用CTや口腔内スキャナーを用いて、歯の位置関係だけでなく、骨の状態や噛み合わせまで確認して矯正計画を設計します。

③矯正後の顔貌の変化もシミュレーションできる

矯正は歯並びを整える治療ですが、口元や横顔の印象にも影響します。特に八重歯のような歯を並べるスペースが不足しているケースは、口元への影響が生じることが多いです。

③矯正後の顔貌の変化もシミュレーションできる

当院では、歯を抜く、抜かないなど、さまざまなパターンで矯正後の顔貌の変化をシミュレーションし、機能面・審美面の両方で納得できる治療を目指します。「歯は綺麗に並んだのに顔がイメージと違った」というズレを防ぎ、安心して治療に臨んでいただけます。

④治療中も細かく調整し、完成度を高める

八重歯の治療は、歯のガタガタになっている箇所を動かすだけでは終わりません。途中経過で噛み合わせや歯の当たり方が変化するため、計画通りに進んでいるかを確認しながら、必要に応じて治療計画を微調整して仕上げていきます。

マウスピース矯正は、段階的に歯を動かす治療法だからこそ、経過を見ながら調整を重ねることで、複雑な八重歯でも最終的な歯並びと噛み合わせの完成度を高めることが可能です。

無料カウンセリングのご案内
まずはお気軽にご相談ください

無料カウンセリングのご案内|まずはお気軽にご相談ください

八重歯に対する矯正治療は、症状の程度や噛み合わせ、スペース不足の原因によって治療方針が大きく変わるため、「マウスピースでできるのか」「抜歯が必要なのか」「どこまで見た目が変わるのか」など、迷われる方が多くいらっしゃいます。

当院では、八重歯を含む複雑な歯並びの矯正治療にも豊富な実績があり、マウスピース矯正を前提にしながらも、遠心移動・拡大・IPR(歯間調整)・抜歯の判断まで含めたトータルなご提案が可能です。できるだけ歯を抜かずに整えたいのか、それとも仕上がりの美しさや口元のバランスを重視して、抜歯を含めて確実に整えるべきなのか。

どちらが正しいかではなく、「あなたにとってベストな選択は何か」を、専門的な視点で一緒に考えてまいります。

ご相談は無料カウンセリングにて承っております。小さな疑問でも構いませんので、どうぞお気軽にご予約ください。

よくあるご質問(FAQ)
患者様の疑問にお答えします

Q.八重歯はマウスピース矯正で治せますか?

A.治せます。八重歯が難しいのは装置の問題ではなく、スペース設計と犬歯のコントロールが複雑だからです。当院は八重歯を前提に、治る計画を組んで治します。

Q.他院で「ワイヤー矯正でないと難しい」と言われました。それでも可能ですか?

A.当院では可能です。難しいと言われたケースほど、診断と設計で結果が変わります。まずは精密検査で「どこが難しいのか」を分解し、マウスピースで成立するルートを明確にします。

Q.抜歯が必要になるのはどんな場合ですか?

A.歯の重なりが大きく、非抜歯のスペース確保だけでは限界がある場合は抜歯が必要です。仕上がりや安定性などさまざまな要素から抜歯・非抜歯を判定し、顔貌シミュレーションも実施しながら、最適な治療法を患者様と一緒に検討いたします。

Q.できるだけ歯を抜かずに八重歯を治したいのですが可能ですか?

A.患者様が非抜歯をご希望でしたら、可能な限り非抜歯で治療します。そのために当院は、遠心移動、拡大、IPR(歯間調整)など複数の方法を組み合わせ、無理のない範囲でスペースを確保します。

Q.抜歯ありでもマウスピース矯正で治療できますか?

A.できます。抜歯は「スペースを作る手段」です。大事なのは、そのスペースをどう使って歯を正しい位置に入れ、噛み合わせまで仕上げるか。そこまで含めて当院はマウスピースで設計します。

Q.治療期間はどれくらいですか?

A.軽度なら半年〜1年程度、重度なら1〜2年程度が目安です。抜歯が必要でも、多くは2年以内に完了します。とはいえ患者様ごとに治療期間は異なりますので、初回の無料カウンセリング時に検査を行い具体的に期間を提示します。

Q.1日何時間、装着が必要ですか?

A.20時間〜22時間必要です。しっかりと装着時間を確保することが、良好な結果につながります。

Q.痛みは強いですか?

A.強い痛みは出にくいです。新しいマウスピースに替えた直後に圧迫感が出ることはありますが、基本的には痛みはほとんどありません。痛みがある場合も、鎮痛剤でコントロールできる範囲であることがほとんどです。

Q.アタッチメント(歯の突起)やゴムかけは必要ですか?

A.基本的には必要です。八重歯は歯の回転や上下の動きが絡みやすいので、治療中の見た目は多少損ないますが、結果優先で補助装置を併用します。補助装置を使用することで、最短でかつ正確に、きれいに仕上がります。

Q.通院頻度はどれくらいですか?忙しくても続けられますか?

A.続けられます。当院は通院頻度を抑えた設計が可能で、目安は4〜5ヶ月に1回です。遠方の方や忙しい方でも、現実的に治療を完走できます。

Q.矯正後の口元や横顔は変わりますか?事前に確認できますか?

A.変わります。そして事前に確認できます。当院はフェイスシミュレーションで矯正中・矯正後の顔貌変化を可視化し、機能と見た目の両方で納得できるゴールを共有してから治療を開始します。

Q.マウスピースだけで最後まで治しますか?

A.基本はマウスピースで治します。ただし、仕上がりの質を上げるために一時的なワイヤー併用をしたほうが良いケースでは、併用もご提案することがあります。

Q.料金体系は明確ですか?追加料金が不安です。

A.明確です。相談・検査・調整料の扱いを含め、費用は事前に全て提示します。治療途中で追加の費用が必要になる場合も、先に理由と金額を説明し、納得いただいてから進めます。

Q.無料相談やセカンドオピニオンはできますか?

A.できます。八重歯は「どれくらいスペースが足りないか」で治療方針が決まります。無料相談では、あなたの歯並びを前提に、マウスピース矯正で治せるかどうかはっきりお伝えします。迷っている段階で構いませんので、まずは気になる点をそのままご相談ください。

マウスピース矯正専門ドクターに
なんでも相談できる60

30秒でカンタン入力!

無料相談を予約する