歯列矯正かセラミックか迷っている50代の方へ|歯周病で歯がグラグラしていた症例
「歯並びは治したいけれど、歯がグラグラしている」
「矯正を勧められたが、本当に自分に合っているのかわからない」
50代の方から、こうしたご相談は少なくありません。
今回ご紹介するのは、
歯周病があり、被せ物も多く、歯列矯正を行わずにセラミック治療を選択した症例です
CONTENTS
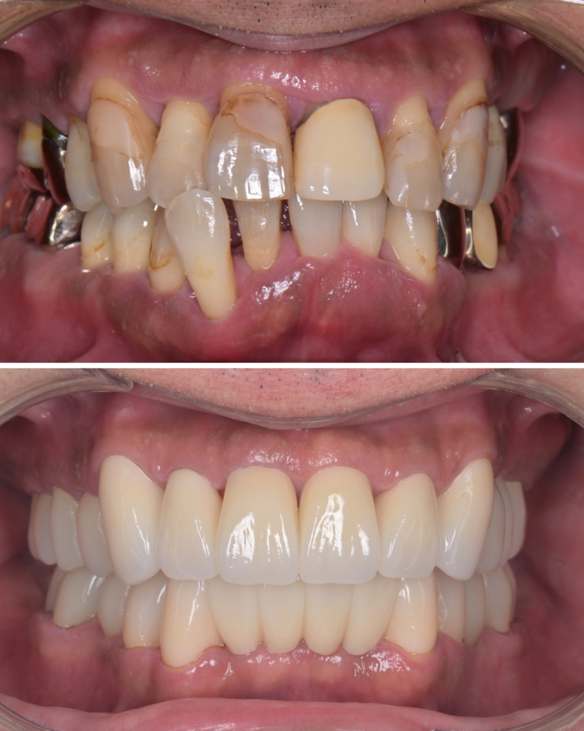
50代 歯周病 セラミック治療 ビフォーアフター




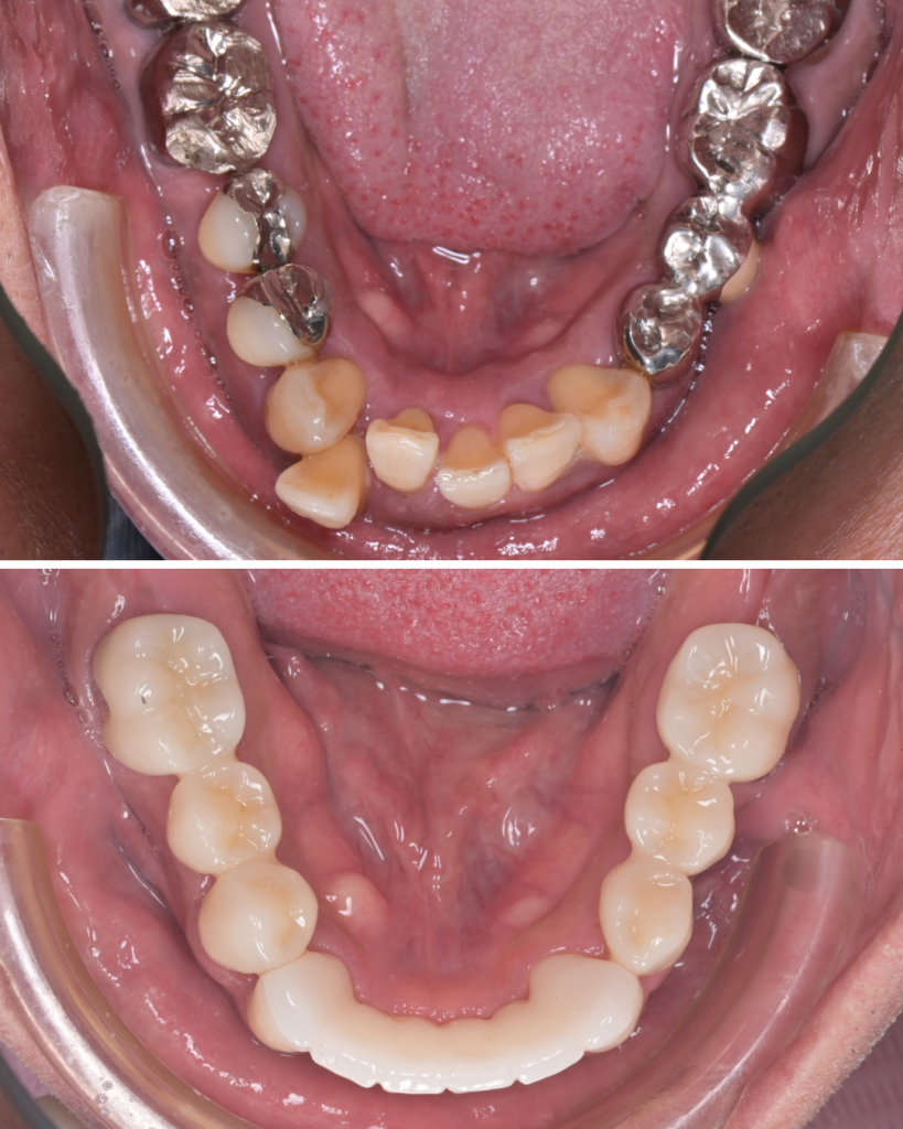
歯周病で歯がグラグラしていたため、歯列矯正は行わず、歯の状態を優先してセラミック治療を選択した50代の症例です。
この症例で歯列矯正を選択しなかった理由
- 歯周病による歯の動揺が強く、矯正によるリスクが高かった
- 矯正をしても、最終的に多くの歯でセラミックが必要になる状態
- 治療期間が長くなり、50代の患者さんにとって負担が大きい
👉 この症例では
「矯正をしてもしなくてもセラミックが必要」
という判断になりました。
セラミック治療を選択した理由
歯を連結することで安定性を確保
- グラグラしている前歯は、セラミックで連結
- 見た目だけでなく、噛む力を分散し安定させる目的
歯並び・色・形を同時に改善できる
- ガタガタ
- 歯の長さの不揃い
- 被せ物の色の違い
を一度の治療計画で改善できるメリットがありました。
本来は「歯を削らずに歯列矯正で整える」のが理想です(50代でも可能なケースがあります)
歯並び治療の第一選択は、できる限り歯を削らずに歯列矯正で整えることです。
40代・50代でも、歯周病の状態や被せ物の状況によっては、マウスピース矯正で十分きれいに並べられるケースがあります。
ただし、今回の症例のように
歯周病で歯の動揺(グラつき)が強い/被せ物が多く最終的にセラミックが必要
という条件が重なる場合は、矯正のメリットが小さくなることがあります。
歯を削らずに歯列矯正ができた50代の症例・解説はこちら
👉 歯を削らずに矯正で改善できた50代の症例はこちら
「50代女性 八重歯の歯列矯正 ビフォーアフター|マウスピース矯正で1年3ヶ月で治療」
👉 50代からの歯列矯正の注意点はこちら
50代からの歯列矯正。よくある失敗や後悔、治療の注意点を詳しく解説
どちらが正解かではなく、あなたの歯の状態で「歯を削らずに矯正できるのか/セラミックの方が安全か」を見極めることが大切です。
当院が「歯列矯正かセラミックか」を正しく判断できる理由
- 歯列矯正とセラミック治療の両方を行っている
- どちらか一方に偏らない治療提案
- 40代・50代の症例経験が豊富
👉
「矯正もできるし、セラミックもできる」
からこそ、本当に合った治療法を選べます。
40代・50代の歯並び治療では、以下のように「矯正」と「セラミック」で考え方が大きく異なります。
| 比較項目 | 歯列矯正 | セラミック治療 |
|---|---|---|
| 歯を削る量 | ほぼ削らない | 削る必要あり |
| 歯周病がある場合 | 状態によってはリスクあり | 連結などで安定させやすい |
| 被せ物が多い場合 | 最終的に再治療が必要なことが多い | 一度でやり替え可能 |
| 治療期間 | 1〜2年以上かかることが多い | 比較的短期間 |
| 歯の色・形の調整 | 基本的にできない | 色・形・長さを調整可能 |
| 40代・50代への適性 | 条件が合えば有効 | 条件次第で非常に有効 |
| 向いている人 | 歯がしっかりしている方 | 歯周病・被せ物が多い方 |
※どちらかを無理におすすめするものではなく、歯の状態によって適した治療法が異なります
40代・50代では「どちらが正解か」ではなく、
「自分の歯の状態に合っているかどうか」が最も大切です。
その判断を自分だけで行うのは難しいため、矯正とセラミックの両方を行っている歯科医院での相談が重要になります。
Q&A
Q:矯正とセラミック、どちらを選べば後悔しませんか?
A:
一概にどちらが良いとは言えず、年齢・歯周病の状態・過去の治療歴によって最適な選択は異なります。
例えば、
- 歯を削らずに済む → 矯正が向いている
- 矯正しても最終的に被せ物が必要 → セラミックが向いている
という判断になります。
当院では矯正とセラミックの両方を行っているため、偏らない提案が可能です。
Q:50代でセラミック治療をすると、将来的に問題はありませんか?
A:
50代であっても、適切に計画されたセラミック治療であれば、将来的に大きな問題になることは多くありません。
ただし、以下の条件を満たしていることが重要です。
- 歯周病の状態をきちんと評価・コントロールしている
- グラグラしている歯は、必要に応じて連結するなど安定性を確保している
- 噛み合わせを考慮した設計になっている
- 治療後も定期的なメンテナンスを継続している
逆に、歯周病が進行したまま無理にセラミックを入れたり、噛み合わせを考えずに治療を行うと、将来的なトラブルにつながる可能性があります。
そのため当院では、
**「矯正をした方が良いのか」「セラミックの方が適しているのか」**を事前に比較したうえで、患者さんの歯の状態に合った治療法をご提案しています。
Q:歯がグラグラしている状態で、セラミックを入れても大丈夫ですか?
A:
歯がグラグラしている原因が歯周病の場合、事前に歯周病の状態を評価・コントロールすることが前提になります。
この症例のように、歯の動揺がある場合は
- セラミックで歯を連結する
- 噛み合わせを考慮して負担を分散する
などの工夫を行うことで、歯の安定性を高めることが可能です。
ただし、すべてのケースでセラミックが適しているわけではないため、歯の状態を正確に診断したうえで治療方針を決めることが重要です。
Q:他院で「矯正は難しい」と言われましたが、相談しても大丈夫ですか?
A:
はい、問題ありません。
40代・50代では、歯周病や被せ物の影響で矯正が難しいと判断されることがあります。
ただしその場合でも、
- セラミック治療
- 矯正と補綴を組み合わせた治療
など、別の選択肢が考えられることもあります。
当院では、矯正・セラミックの両方を行っているため、
「矯正ができない=治療できない」 という判断にはなりません。
Q:セラミック治療で、口元が不自然になったり老けて見えたりしませんか?
A:
セラミック治療では、歯の形・長さ・色を調整できるため、設計次第で自然な口元に仕上げることが可能です。
当院では、
- 年齢に合った歯の長さ
- 過度に白くしすぎない色調
- 噛み合わせとのバランス
を重視して設計しています。
そのため、必要以上に若作りした印象や、不自然な仕上がりにならないよう配慮しています。
40代・50代で同じように悩んでいる方へ
- 矯正を勧められたが迷っている
- 歯周病があり治療に不安がある
- 歯並びだけでなく、歯の色・形も気になる
そんな方は、
矯正とセラミック、両方の視点から相談できる歯科医院を選ぶことが大切です。
NEWS
- 診療時間
- 月
- 火
- 水
- 木
- 金
- 土
- 日
- 祝
- 9:30〜17:30
- ○
- ○
- ー
- ○
- ○
- ○
- ー
- ー
※ 【休診日】水曜・日曜・祝日