前歯の横の歯が引っ込んでいるのは治せる?抜歯なしのマウスピース矯正|Before/Afterで解説【大阪】
前歯の横の歯(側切歯)が引っ込んでいるケースは、ほとんどが抜歯なしでマウスピース矯正で治せます。当院では遠心移動と側方拡大を組み合わせ、1年〜1年半で改善した症例が多くあります。
今回は当院で治療した、前歯の横の歯が引っ込んでる症例の治療経過をアップしました。治し方や注意点を解説していますので、最後まで読んでみてください。
CONTENTS
治療概要
| 患者さんのお悩み、希望 |
| 前歯の横の歯が引っ込んでいて、笑うと歯がないように見えるのがコンプレックスで、普段は歯を見せて笑うのが怖くて、思いっきり笑えない、笑うときに手で口元を隠す癖がついてる。ワイヤー矯正だと目立つのが嫌だが、数件相談に行ったが抜歯してワイヤー矯正で治療と説明を受けました。 |
| 治療方法 |
| マウスピース矯正のみで治療。前歯の横の歯が引っ込んでいるのを、前に出すために全体的にスペースを作り並べました。歯を抜かずに治療が完了しています。 |
| 治療期間 |
| 1年6ヶ月(通院頻度は5ヶ月に1度) |
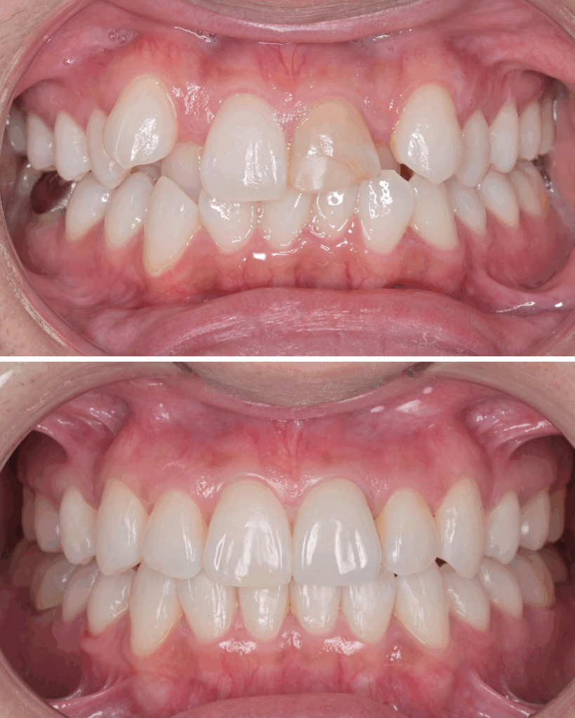
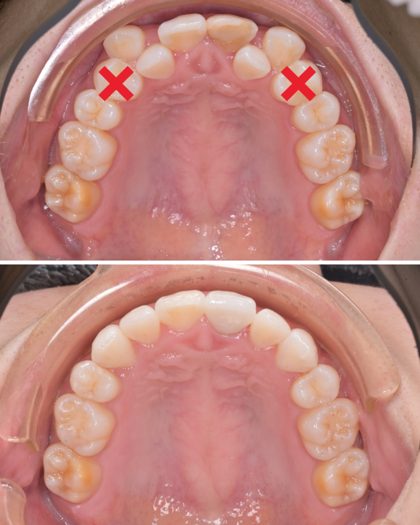
前歯の横の歯が引っ込んでる マウスピース矯正 Before & After





前歯の横の歯が引っ込んでるケースの治し方
歯を抜かずに治療する方法
前歯の横の歯が引っ込んでるケースでは、引っ込んでいる歯を前に出すスペースが不足しています。
抜歯してスペースを確保する方法もありますが、当院では抜歯せずに治療するケースが多いです。写真のようにスペースがない場合、遠心移動という奥歯を奥に移動させる方法と側方拡大といって歯並びを拡げてスペースを確保します。



注意点
引っ込んでいる歯が前に出る時に、そこの部分のみ強く当たって奥歯で噛めない時期が一時的に起こってしまう場合があります。完全に乗り越えたら、その問題は解決しますし、治療中辛い場合は、奥歯を仮のプラスチックで高くして改善する方法もあります。

前歯の横の歯(側切歯)が引っ込む原因
側切歯は、生まれつきズレやすい歯です。いくつかの理由で内側に入り込んでしまいます。
● 生まれつき歯が小さい
側切歯は「小さめで生える」ことが多く、スペースに余裕ができて内側に倒れやすくなります。
● 歯列の幅が狭い
上顎アーチが狭いと、並ぶスペースが足りず、内側に押し込まれます。
● 八重歯の影響
犬歯の萌出力が強く、側切歯を内側に押し込んでしまうことがあります。
側切歯が内側に入り込む原因のひとつに八重歯があります。八重歯と側切歯の位置異常は同時に起こりやすく、治療方針も似ています。八重歯について詳しく知りたい方はこちらをご覧ください。
>>マウスピース矯正で八重歯は治せる?治し方と注意点
● なりやすい人の特徴
- 歯列がV字型で狭い
- 家族に八重歯・叢生が多い
- 10代で矯正していない
前歯の横の歯を放置するとどうなる?
放置して自然に治ることはありません。見た目だけでなく、機能面の問題も出てきます。
● 見た目の悩みが強くなる
笑ったときに「歯が欠けて見える」「左右差が目立つ」と悩みやすくなります。
● 噛み合わせが悪くなる
犬歯誘導が崩れ、奥歯の負担が増えます。顎の負担にもつながります。
● 虫歯・歯周病のリスクUP
内側に入り込んだ歯は磨きにくく、プラークが溜まりやすい形です。
前歯の横の歯が引っ込んでいるのは抜歯が必要?
「抜歯ですか?」という質問は非常に多いです。結論は、ケース次第です。
● 抜歯が必要なケース
- 口元をしっかり下げたい
- Eラインを改善したい
- アーチが極端に狭い
● 抜歯なしで治せるケース
奥歯を後ろに下げる「遠心移動」、アーチを広げる「側方拡大」でスペースを作れれば、非抜歯で治療可能です。
● 判断ポイント(専門的)
- Eラインの位置
- 歯列の幅・形
- 犬歯・大臼歯の位置
- 遠心移動で確保できるスペース量
当院では抜歯あり/なしの横顔シミュレーションを比較して説明しています。
知恵袋でよくある誤解と正しい考え方
「前歯の横の歯 引っ込んでる 知恵袋」で調べて不安になる方がとても多いです。よくある誤解をまとめました。
● 誤解①「気にしなくていい」
実際には改善しないまま、見た目・清掃性・噛み合わせに悪影響が積み重なります。
● 誤解②「ワイヤー矯正しか無理」
遠心移動・側方拡大・トルク調整を正しく設計すれば、マウスピースでも改善できます。
● 誤解③「抜歯は必須」
抜歯は「スペース」ではなく「口元の仕上がり」で判断します。非抜歯で治るケースのほうが多いです。
ネット情報だけでは判断が難しいため、実際の歯列幅や横顔バランスを診断することが重要です。
抜歯するかどうかは、Eラインも考慮します
抜歯・非抜歯の判断は「どれだけ口元を下げたいか」によっても変わります。口元の変化について分かりやすくまとめた記事がありますので、あわせてご覧ください。
>>抜歯矯正で口元は下がる?下がらない?徹底解説
反対に、歯を抜かずに治す場合のメリットや限界が知りたい方はこちらをご覧ください。
>>歯を抜かない矯正治療(非抜歯矯正)とは?
横の前歯が引っ込んでいるのを綺麗に並べたいという希望だけであれば、歯を抜かずにできる可能性は高いと思います。
前歯が引っ込んでいるのを治すだけでなく、全体的に口元を引っ込めたい場合は歯を抜歯する必要がありますので、歯並びだけを治したいのか、口元も改善したいのかで抜歯が必要かどうかも変わってきます。
当院では次の写真のように、抜歯した場合、抜歯しなかった場合の口元の変化をシュミレーション出来ますので、どちらが自身の希望に合っているか判断することが出来ます。

オーダーメイドの設計で5ヶ月に1度の来院
マウスピース矯正は1週間に1枚マウスピースをご自宅で交換していきます。失敗しないために重要なことは、矯正の正しい診断、正しいマウスピースの設計、患者さんがきちんとマウスピースを装着するの3つです。
当院では院長の中村竜三が全て、一人一人の診断とオーダーメイドでマウスピースの設計を行っています。矯正の経験豊富なドクターが設計していますので、通院頻度は通常は5ヶ月に1度で大丈夫です。
治療後の感想、治療費用
| 患者さんの感想 |
| 写真を撮る時に歯を見せて笑うことができるようになったので、本当に治療してよかったです。抜歯してワイヤー矯正じゃないと難しいと思っていましたが、マウスピースでしかも短期間で終了できたのでよかったです。 |
| リスク |
| マウスピース矯正はきちんと装着しないと、正しく歯が動かない可能性があります。 |
| 費用 |
| マウスピース矯正 77万円(税込)(診断、調整料は全て込み) |
前歯の横の歯が引っ込んでいる症例(軽度・中度・重度)
症例を「軽度・中度・重度」に分けて紹介します。ご自身の状態と近い症例を探すことで、治療のイメージがより分かりやすくなります。
【軽度】前歯の横の歯が少しだけ引っ込んでいるケース
・治療方法: 非抜歯(IPR+側方拡大)
・治療期間: 約1年
・費用: 66万円(税込)
軽度のケースでは、歯列の幅を少し広げたり、わずかなスペースを作ることで整います。口元の変化も最小限で、治療の負担も少ないタイプです。
Before &After


【中度】側切歯が内側に大きく入り込んでいるケース
・治療方法: 非抜歯(遠心移動+側方拡大+IPR)
・治療期間: 約1年6ヶ月
・費用: 77万円(税込)
中度のケースでは、前歯が並ぶスペースが不足しているため、奥歯を後ろへ下げる「遠心移動」を行います。マウスピース矯正でも適切に設計すれば十分改善できます。
Before &After


【重度】前歯の横の歯が完全に隠れている・叢生が強いケース
・治療方法: 抜歯あり(小臼歯抜歯)
・治療期間: 約2年
・費用: 88万円(税込)
重度の場合は、スペース不足が大きく、非抜歯では十分な改善が難しいケースです。抜歯を行うことで前歯の位置・口元のバランスまで綺麗に整えることができます。今回のケースでは上の4番目の歯を抜歯しています。



なんでも相談できる60分
30秒でカンタン入力!
無料相談を予約する
よくある質問(FAQ)
Q1. 前歯の横の歯が引っ込んでいるのは自然に治りますか?
A1. 自然に治ることはありません。成長とともに位置が固定し、清掃性の悪化や見た目の問題が強くなることがあります。
Q2. 抜歯しないで治せる可能性は高いですか?
A2. 多くのケースで「遠心移動」や「側方拡大」を行えば非抜歯で改善できます。口元を大きく下げたい場合のみ、抜歯を検討します。
Q3. 八重歯とどう違うのですか?
A3. 八重歯は犬歯が外側に飛び出す状態で、側切歯が押されて内側に引っ込むことがあります。両方が同時に起きることも珍しくありません。
Q4. どれくらいの期間で治りますか?
A4. 軽度なら6〜12ヶ月。スペースが少ない場合でも1年半前後で改善します。症例ページの患者さんも1年6ヶ月で終了しています。抜歯が必要なケースでは約2年の治療期間となります。
Q5. マウスピース矯正で本当に治りますか?
A5. 遠心移動・側方拡大・トルク調整を組み合わせれば、マウスピースで十分改善できます。当院ではマウスピース矯正で治療した症例が多数あります。
Q6. 治療中、一時的に噛みにくくなることはありますか?
A6. 引っ込んだ歯が前に出てくる途中で、一時的に奥歯で噛みづらくなることがあります。必要に応じて奥歯を一時的に高くして調整します。
Q7. 費用はどれくらいですか?
A7. マウスピース矯正は77万円(税込/診断料・調整料込み)です。追加費用がかからない明朗会計です。軽度のケースであれば66万円(税込/診断料・調整料込み)で済むケースも多くあります。抜歯が必要なケースでは88万円(税込/診断料・抜歯・調整料込み)
Q8. どのくらいの頻度で通院が必要ですか?
A8. 当院では院長がすべての治療設計を行うため、通常5ヶ月に1度の来院でOKです。忙しい方でも続けられる体制です。
Q9. 40代・50代でも治療できますか?
A9. 骨のリモデリングは年齢に関係なく起こるため、問題ありません。実際に40代・50代の患者さんが多く来院されています。
年齢による矯正の不安はとても多く、特に40〜50代の方の来院が増えています。詳しいポイントはこちらで解説しています。
>>40代・50代の歯列矯正で後悔しないために
Q10.治療後に戻ることはありますか?
A10. 適切に保定すれば大きく戻ることはほとんどありません。治療後は保定装置を装着し、歯の位置を維持します。

NEWS
- 診療時間
- 月
- 火
- 水
- 木
- 金
- 土
- 日
- 祝
- 9:30〜17:30
- ○
- ○
- ー
- ○
- ○
- ○
- ー
- ー
※ 【休診日】水曜・日曜・祝日