出っ歯は抜歯矯正でもマウスピースで治る?ワイヤーと言われた方向け症例解説
他院で「出っ歯を治すには、抜歯してワイヤー矯正しかない」と言われて、こう感じていませんか?
- ワイヤーが目立つのがどうしても嫌
- 仕事や接客で、見た目のストレスが大きそう
- 抜歯も不安だし、できれば目立たない方法で治したい
- 「本当にワイヤーしか選択肢はないの?」とモヤモヤしている
結論からお伝えすると、抜歯が必要と言われた出っ歯でも、マウスピース矯正で治療できるケースはあります。
当院(大阪・松原市のマウスピース矯正専門)では、「抜歯+ワイヤー矯正」と診断された方が、ワイヤーを使わずにマウスピース矯正のみで治療を完了された症例を多数扱っています。
もちろん、すべての方がマウスピースだけで可能とは限りません。
ただ、他院でワイヤー矯正一択と言われた方でも、診断と治療設計(歯の動かし方・スペースの作り方・アンカレッジ設計など)を適切に行うことで、マウスピース矯正を選べる可能性があります。
この記事では、「抜歯+ワイヤー」と言われた出っ歯の方に向けて、
- マウスピース矯正で対応できる条件
- できない(ワイヤーが必要になりやすい)条件
- 抜歯を伴う場合の治療の流れ・期間・費用の目安
- 実際の症例写真(ビフォーアフター)
を、できるだけわかりやすく解説します。
CONTENTS
出っ歯の抜歯矯正をマウスピースで改善した症例
他院で「抜歯してワイヤー矯正が必要」と説明を受けた方でも、治療設計によってはマウスピース矯正のみで改善できるケースがあります。
ここでは実際に当院で治療を行った症例をご紹介します。
(※掲載写真は患者様の許可を得て掲載しています)
横顔の変化(Before / After)

前歯の突出に伴い口元の前突感が認められましたが、歯列改善により口唇バランスと横顔の印象が自然に整いました。
口腔内 正面(Before / After)

歯列スペース不足および前歯突出が見られましたが、マウスピース矯正により歯列が整い咬合関係が改善しています。
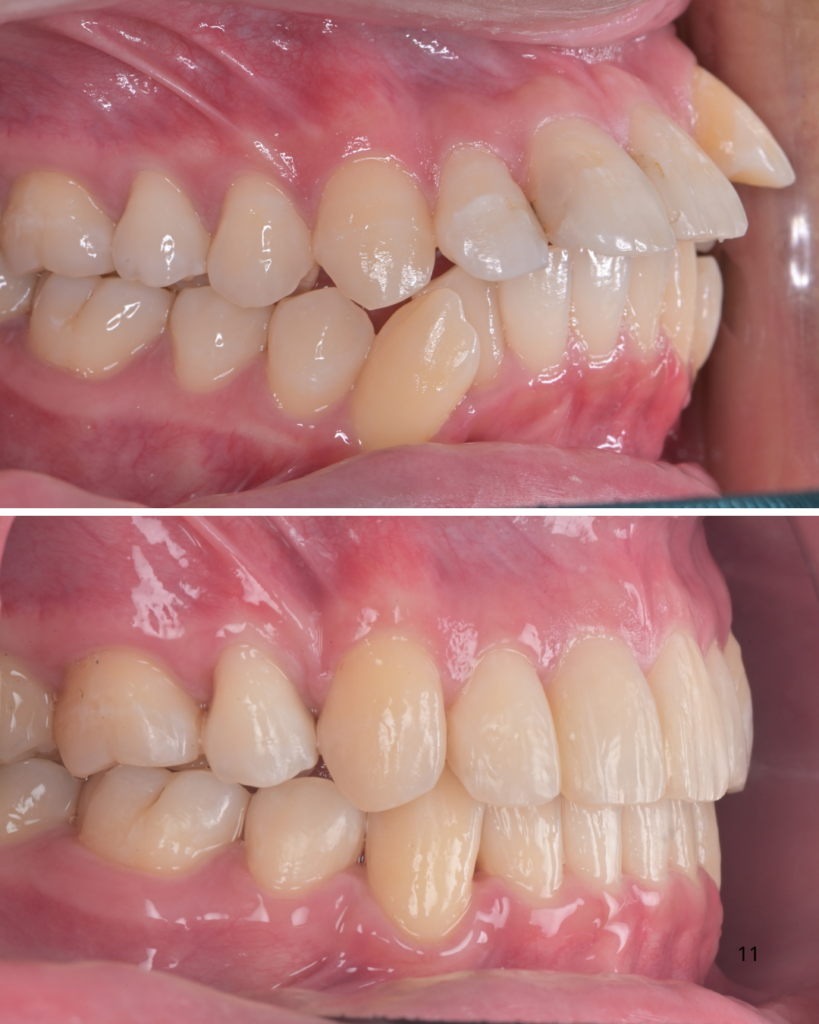
口腔内 側方(Before / After)

出っ歯が解消され、歯列全体の連続性と咬み合わせの安定が得られました。
口元側面(Before / After)

コンプレックスであった出っ歯が改善しています。
治療概要
- 主訴:他院で抜歯+ワイヤー矯正と説明された出っ歯の改善希望
- 治療期間:24ヶ月
- 抜歯部位:上下小臼歯(上下左右の前から4番目の歯)
- 使用装置:マウスピース矯正(インビザライン)
- 通院頻度:5ヶ月に1度(マウスピースは自宅で1週間に1度交換)
※症例により治療内容は異なります。
症例ポイント
- 他院で抜歯+ワイヤー矯正と診断
- マウスピース矯正のみで治療完了
- 目立たない装置で治療継続可能
- 通院負担を抑えながら歯列改善
※治療結果には個人差があります。適応は診断により異なります。
このように、抜歯を伴う出っ歯症例でも治療計画を適切に設計することで、マウスピース矯正による改善が可能となる場合があります。
次の章では、そもそもなぜ「出っ歯=抜歯矯正が必要」と診断されることが多いのか、その理由を解説します。
出っ歯矯正で抜歯が必要になるケースとは
出っ歯の相談で多くの方が「抜歯が必要」と説明を受けますが、
実際にはすべての症例で抜歯が必要になるわけではありません。
例えば、
- 上の前歯と下の前歯の距離が大きく離れている(オーバージェットが大きい)
- 歯並びのガタガタ(叢生)が比較的軽度
- 歯列を広げたり奥歯を後方へ動かすことでスペース確保が可能
このような場合には、非抜歯矯正でも前歯を後退させ、口元の印象を改善できるケースがあります。
実際の非抜歯改善症例については下記をご覧ください。
▶ 非抜歯で出っ歯を改善した症例はこちら
一方で、次のような条件がある場合は抜歯が適した選択となることがあります。
- 歯並びのガタガタが大きい
- 口元をしっかり後ろへ下げたい
- 横顔の改善量を大きく確保したい
- 歯を動かすスペースが非抜歯では不足する
このようなケースでは、抜歯によってスペースを確保した方が安定した結果が得られる可能性があります。
当院の診断方針
重要なのは「抜歯か非抜歯か」を最初から決めつけないことです。
当院では
- 抜歯計画
- 非抜歯計画
両方のシミュレーションを作成し、患者様のご希望も最大限伺ったうえで最終判断を行います。
さらに当院の特徴として、歯列変化だけでなく
横顔のシミュレーションも実施しています。
- 口元の下がり方
- 唇の位置の変化
- フェイスラインの印象
これらを視覚的に確認したうえで治療方針を選択できるため、納得した状態で治療を開始することが可能です。
抜歯矯正でもマウスピース矯正が可能な理由
出っ歯の相談で多くの方が説明を受けるのが、
「抜歯が必要な場合はワイヤー矯正になります」
という内容です。
実際にそのように案内されるケースは少なくありません。
しかし、これは矯正治療の仕組み上そう決まっているわけではありません。
抜歯矯正の方法は一つではありません
抜歯矯正は
歯を抜くことが治療方針であり、装置の種類を決めるものではありません。
つまり
- 抜歯矯正 × ワイヤー
- 抜歯矯正 × マウスピース
どちらも治療として成立します。
実際には
担当する歯科医師の経験・診断・治療設計に大きく左右される領域です。
マウスピース矯正で対応しやすいケース
例えば次のような状態では、マウスピース矯正でも十分対応可能なことが多くあります。
- 歯並びのガタガタが大きい
- 前歯が前方へ傾いている
- 抜歯スペースを利用して歯列整理を行う計画
このようなケースでは、マウスピース矯正でも問題なく治療が進むことが一般的です。
当院では、ほとんどの抜歯矯正症例でマウスピース矯正による対応が可能となっています。
なぜ「ワイヤーしかできない」と説明されるのか
理由の一つに教育背景があります。
インビザラインに代表されるマウスピース矯正は比較的新しい治療領域であり、
大学教育の中で体系的に学ぶ機会がほとんどありません。
そのため
- ワイヤー矯正中心の臨床経験
- マウスピース抜歯症例の経験不足
といった背景から、ワイヤー矯正を提案されることが多くなります。
マウスピース矯正は診断と設計で結果が変わる治療
マウスピース矯正は装置の性能だけで結果が決まる治療ではありません。
- 歯の移動設計
- アンカレッジ戦略
- 進行管理
- 修正判断
これらすべてが結果に影響します。
つまり、
同じマウスピース装置でも担当医によって治療結果は大きく変わります。
当院では抜歯・非抜歯双方のシミュレーションを行い、
横顔の変化も含めて治療方針を決定しています。
さらに当院の特徴として、歯列変化だけでなく横顔のシミュレーションも実施しています。
口元の下がり方や唇の位置の変化、フェイスラインの印象を治療前に視覚的に確認できるため、治療結果のイメージを具体的に把握したうえで方針を選択できます。
抜歯矯正を行うと引っ込みすぎないか心配という方へ
抜歯矯正を検討されている方の多くが心配されるのが、
「口元が引っ込みすぎないか」
「老けた印象にならないか」
という点です。
実際にネット上の体験談などを見て不安になり、ご相談に来られる方も少なくありません。
抜歯矯正では、歯を抜いたスペースを利用して前歯を後方へ移動させるため、口元の印象が変化する可能性があります。ただし重要なのは、抜歯するかどうかそのものよりも、治療途中で前歯の位置をコントロールできる選択肢があるかどうかです。
前歯を下げ始めた後でも
「これ以上口元を引っ込めたくない」
と感じる段階で治療計画を調整できれば、過度な後退を防げる可能性があります。
当院では、前歯の位置を適切にコントロールするための治療選択肢を用意しており、口元の変化に対する不安を最小限に抑えながら治療を進めています。
抜歯矯正で口元の変化が心配な方へ、治療途中で調整できるポイントや後悔しない判断方法を詳しく解説しています。
出っ歯矯正を検討している方へ
出っ歯の矯正治療は単に歯並びを整えるだけでなく、
- 口元のバランス
- 横顔の印象
- 咬み合わせの安定
- 将来的な歯列維持
といった複数の要素を考慮して計画されます。
治療方法は一つに固定されるものではなく、診断の視点や治療設計により選択肢が変わる領域です。
そのため他院で提示された治療方針が唯一の答えとは限りません。
本ページが出っ歯矯正を検討する際の判断材料となれば幸いです。
よくある質問
抜歯矯正でもマウスピース矯正は可能ですか?
はい、可能なケースは多くあります。抜歯矯正は治療方針であり装置を限定するものではありません。当院では多くの抜歯症例でマウスピース矯正による治療を行っています。
出っ歯は必ず抜歯しないと治りませんか?
必ずしも抜歯が必要とは限りません。歯並びの状態やスペース確保の方法によっては非抜歯でも改善できるケースがあります。抜歯・非抜歯双方のシミュレーションを行ったうえで判断します。
抜歯矯正で口元が引っ込みすぎることはありますか?
前歯の移動量により口元の印象は変化しますが、治療途中でコントロール可能です。当院では横顔シミュレーションを行いながら計画を調整しています。
通院頻度はどのくらいですか?
マウスピース矯正では調整来院が少ないため、5ヶ月間隔となるケースが多いです。症例により異なりますが、通院負担を抑えて治療を進められる特徴があります。
マウスピース矯正はワイヤーより効果が弱いですか?
適切な治療設計が行われれば、マウスピース矯正でも十分な歯の移動が可能です。装置の違いよりも診断と設計が結果に影響します。
他院でワイヤーと言われた症例でも相談できますか?
はい、多くの方がセカンドオピニオンとして来院されています。治療方法が変わる可能性もあるため一度診断を受けることをおすすめします。
無料カウンセリングのご案内
「ワイヤー矯正しかできない」と言われた出っ歯でも、
マウスピース矯正で対応できる可能性があります。
当院では
- 抜歯・非抜歯双方の治療シミュレーション
- 横顔の変化確認
- 通院頻度の説明
を行ったうえで治療方針をご提案しています。
まずは現在の状態を確認することが重要です。
お気軽にご相談ください。
なんでも相談できる60分
30秒でカンタン入力!
無料相談を予約する
【執筆・監修者】
Mouth Peace 矯正歯科 院長
中村竜三 (歯学博士)
インビザラインドクター
国際口腔インプラント学会認定医

NEWS
- 診療時間
- 月
- 火
- 水
- 木
- 金
- 土
- 日
- 祝
- 9:30〜17:30
- ○
- ○
- ー
- ○
- ○
- ○
- ー
- ー
※ 【休診日】水曜・日曜・祝日